강아지 씨앗 삼킴, 강아지 구토, 소장 이물 제거술 - 장 절개술 (Enterotomy)
- 관리자
- 작성일2026.01.06
- 조회수112
강아지 씨앗 삼킴, 강아지 구토, 소장 이물 제거술 - 장 절개술 (Enterotomy)
강아지가 갑자기 구토를 반복하고 보호자 몰래 뭔가를 먹은 것 같을 때
“이물질 먹은 걸까요?”
“사람 음식 먹은 것 같아요”
“조금 더 지켜봐도 될까요, 바로 병원 가야 하나요?” 이런 고민으로 검색을 하게 됩니다.
강아지 구토는 비교적 흔한 증상이지만 이물 섭취로 인한 소장 폐색이 원인인 경우에는 단순한 위장염과 달리 지체하면 위험해질 수 있는 응급 질환일 수 있습니다.
직접 이물 섭취를 보지 못했음에도 정밀 검사 후 소장 이물이 확인되어 수술로 치료한 실제 케이스를 바탕으로 보호자님이 꼭 알고 계셔야 할 진단 과정과 판단 기준을 설명드리기 위해 작성되었습니다.
[본문 한 눈에 보기]
✅ 2–3일간 반복적인 구토로 내원한 환자로 문진과 검사상 전신 질환보다는 위장관 문제 가능성이 의심되었습니다.
✅ 방사선 검사만으로는 확진이 어려워 복부 초음파를 시행했고 회장 부위 소장 이물을 확인하여 수술 진행했습니다.
✅ 장 괴사 소견은 없어 장 절개술로 이물을 제거했으며 조기 수술로 합병증 위험을 낮추고 예후는 양호했습니다.
이번 환자는 2–3일 전부터 반복적인 구토를 보여 내원한 케이스였습니다.
제목을 보고 오신 분이라면 이미 이 환자의 원인이 ‘이물’임을알고 계시겠지만 수의사 입장에서는 구토만으로 곧바로 이물을 단정할 수는 없습니다.
구토는 동물병원에서 가장 흔히 접하는 증상 중 하나이며 원인이 매우 다양합니다.
심지어 보호자가 “구토를 한다”고 내원했지만 실제로는 역류를 구토로 오인 경우도 적지 않습니다.
따라서 구토를 주증로 내원한 경우 철저한 문진이 진단의 출발점이 됩니다.
이 환자 역시 구토가 시작된 시점과 빈도, 토사물의 형태(사료, 담즙, 이물 등),식이 변경 여부,이물 섭취나 사람 음식 섭취 이력 등을 세밀히 확인했습니다.
보호자 말씀으로는 최근 식이 변화나 이물, 사람 음식 섭취는 없었다고 하셨습니다.
신체검사를 이어서 진행했습니다.
촉진시 복부에 뚜렷한 불편감을 보였고 소화기 내 가스 팽창이 손끝으로 느껴졌습니다.
이러한 경우에는 우선적으로 혈액검사를 통해 구토를 일으킬 수 있는 전신적·대사성질환(non-GI질환)을 감별해야 합니다.
특히신장 질환, 간 질환, 췌장염 등은 구토의 주요 원인들입니다.
이 환자의 경우, 신장 수치,간수치, 췌장 관련 수치 모두 정상 범위로 확인되었습니다.
따라서, 전신 질환보다는 위장관 자체의 문제 가능성을 우선적으로 고려하게 되었습니다.
하지만 이러한 소견은 구토를 유발하는 다양한 질환에서 공통적으로 관찰될 수 있는 비특이적 변화이기에 이것만으로 질병을 특정할 순 없었습니다.
보호자분은 문진 시 환자가 이물을 삼키는 것을 직접 보지 못했다고 말씀하셨지만 문진만으로 이물이나 기계적 폐색을 배제할 수는 없습니다.
반려동물이 보호자 몰래 이물을 삼키는 경우가 흔하기 때문입니다.
따라서, 구토의 흔한 원인 중 하나인 이물 가능성을 우선적으로 확인하는 과정이 필요합니다.
이럴 때는 기계적 폐색(이물로 인한 장 막힘) 여부를 확인하기 위해 접근성이 좋고 신속하게 진행할 수 있는 복부 방사선(X-ray) 검사를 먼저 시행하는 것이 일반적입니다.
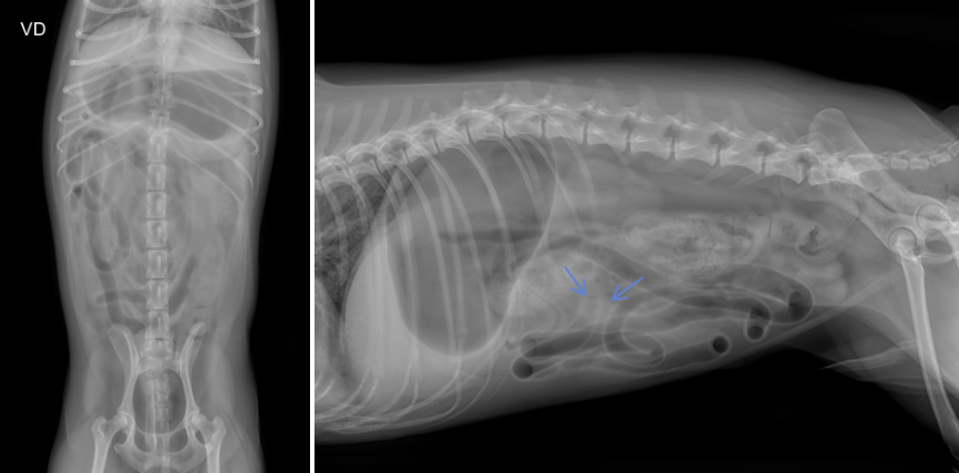
하지만 방사선 검사는 이물 진단의 민감도와 특이도가 약 66% 수준으로 단독으로는 정확도가 높지 않습니다.
실제로 이 환자의 경우, 방사선상 씨앗 형태의 이물로 의심되는 희미한 음영이 관찰되었으나 음영이 뚜렷하지 않았고 소장의 명확한 확장 소견도 확인되지 않아 단순 방사선만으로는 이물에 의한 폐색을 확정하기 어려운 상황이었습니다.
따라서 이런 경우에는 복부 초음파 검사를 추가로 시행하여 이물 자체의 위치와 형태, 장벽의 두께 변화, 장 운동성, 폐색 부위 전후의 확장 정도 등을 평가함으로써 진단의 정확도를 높이는 것이 필요했습니다.
.png)
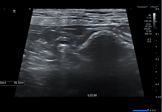
확실한 진단을 위해 복부 초음파 검사를 진행했습니다.
초음파 검사상회장(ileum) 부위에서 소장 내 이물이 명확히 확인되었습니다.
.png)
소장 이물 수술은 장 절개술(enterotomy) 또는 장 절제·문합술(enterectomy& anastomosis)로 진행됩니다.
이물은 장을 압박해 혈류를 방해하고 장벽에 허혈성 손상을 유발할 수 있습니다.
따라서 장벽의 괴사 여부가 수술 방법 선택의 핵심 기준이 됩니다.
–괴사가 없는 경우: 장을 절개하여 이물만 제거(장 절개술)
–괴사가 있는 경우: 손상된 장분절을 절제하고 건강한 부위를 서로 이어주는 문합술시행
이 환자의 경우 개복 후 괴사여부 판단을 위해서,소장의 색깔, 연동운동 유무, 장간막혈관의 박동, 장절개시 출혈 반응 등을 종합적으로 평가했습니다.
.png)
그 결과, 장 괴사 소견은 없었기 때문에 장 절개술만으로 이물을 안전하게 제거할 수 있었습니다.
소장이물 수술을 지연하면 안되는 이유 (1)
보호자분들 중에는 “씨앗 좀 먹었다고 큰일이 나겠어요?”, “조금 기다리면 변으로 나오지 않나요?” 라고 생각하시는 분들도 계실 겁니다.
물론, 일부 이물은 자연 배출되기도 합니다.
하지만장의 어디에 어떤 형태로 걸렸는지에 따라 상황은 전혀 달라집니다.
2021년 VeterinarySurgery저널에 발표된 연구에 따르면 수술을 지연한 경우 장 괴사와 천공 발생이 유의하게 많았으며 이로 인해 장 절제 및 문합술이 필요한 비율이 증가했습니다.
또한, 마취 및 수술 시간 역시 지연군에서 더 길었다고 보고되었습니다.
즉, 단순히 “기다려보자”는 선택이 결국엔 더 큰 수술과 위험으로 이어질 수 있다는 점을 반드시 인지해야 합니다.
소장이물 수술을 지연하면 안되는 이유 (2)
.png)
수술을 미루다 발생할 수 있는 장 천공이 얼마나 위험한지 실감이 나지 않는 분들을 위해 객관적인 연구 결과를 하나 소개드리겠습니다.
2011년 JAVMA에 발표된 연구에 따르면 수술 전 이미 장 천공으로 인해 세균성 복막염이 발생한 경우 수술 후 사망률이 33%에 달했습니다.
반면, 천공이 발생하지 않은 상태에서 이물 수술한 경우의 사망률은 11%에 불과했습니다.
즉, 장 천공이 동반되면 사망 위험이 세 배 이상 증가한다는 뜻입니다.
소장이물 수술을 지연하면 안되는 이유 (3)
.png)
앞서 말씀드렸듯이 수술이 지연될수록 장문합술을 해야 하는 비율이 높아집니다.
그리고 실제로 장문합술을 시행한 경우와 단순 장절개술로 끝난 경우의 예후 차이를 비교한 연구도 있습니다.
2021년 JAVMA에 발표된 연구에 따르면, 장절개술(enterotomy)을 시행한 경우 장열개(dehiscence) 발생률은 3.8%, 장문합술(enterectomy& anastomosis)을 시행한 경우는 18.2%였습니다.
즉, 장문합술을 시행한 경우 장열개가 발생할 가능성이 약 6배 이상 높았던 것입니다.
이 연구의 핵심은 “장문합술이 위험하니 하지 말자”는 의미가 아닙니다.
오히려 장문합술까지 필요할 정도로 장 손상이 진행된 경우 이미 예후가 나빠져 있다는 사실을 보여주는 것입니다.
따라서, 수술을 지연하면 할수록 장 손상이 심해지고 결국 더 큰 수술과 높은 합병증 위험으로 이어질 수 있음을 명심해야 합니다.
장열개(dehiscence) :앞서 말씀드렸듯이, 장 절개술(enterotomy)의 경우 장열개(dehiscence) 발생률은 약 3.8%, 장문합술(enterectomy& anastomosis)의 경우는 18.2%로 보고되었습니다.
이러한 장열개는 복막염(peritonitis)을 유발하고 전신 염증 반응(SIRS)으로 진행될 수 있어 예후를 급격히 악화시키는 주요 합병증입니다.
ileus(장마비) :ileus(장마비)는 장을 직접 조작하는 수술의 특성상 비교적 흔하게 발생할 수 있습니다.
따라서 수술 후 이물이 완전히 제거되었더라도 일시적인 장운동저하로 인해 구토 등 소화기계 임상 증상이 다시 나타날 수 있습니다.
이러한 경우에는 대부분 시간이 지나면서 장 기능이 회복되지만 초기에는 세심한 모니터링과 보조적 치료가 필요합니다.
이물을 제거한 후의 전반적인 예후는 양호하며 보고된 사망률은 대체로 1–8% 수준입니다.
다만, 여러 부위에서 장 절개가 필요한 경우나 광범위한 소장 절제 및 장문합술을 시행해야 하는 경우에는 수술 범위가 넓어지고 합병증 위험이 증가하기 때문에 예후가 상대적으로 불량해질 수 있습니다.
✔하루 이상 구토를 반복하거나
✔물을 마셔도 바로 토하고
✔배를 만질 때 통증이나 불편 반응을 보이거나
✔보호자 몰래 무언가를 먹었을 가능성이 있다면
단순한 위장 트러블로만 넘겨서는 안 됩니다.
이런 경우에는 이물로 인해 장이 막혀 있는 상황은 아닌지 반드시 확인하는 과정이 필요합니다.
이물로 인한 장 폐색은 처음에는 단순 구토처럼 보일 수 있지만, 시간이 지날수록 장의 혈류 장애와 손상이 진행될 수 있으며 진단이 늦어질 경우 수술 범위가 커지고 합병증 위험 또한 크게 증가할 수 있습니다.
강아지 구토가 계속되고 이물 섭취가 의심된다면 지켜보는 시간보다 정확한 검사와 판단을 먼저 받는 것이 아이의 회복과 예후를 결정짓는 중요한 선택이 됩니다.
Re:born ANIMAL MEDICAL CENTER