본문 바로가기

Scroll Down

소화기 내과


편안한 속, 건강한 생활 - 소화기 질환, 리본이 전문적으로 케어합니다.

다양한 증상과 복잡한 병태생리를 가진 반려동물 소화기 질환, 첨단 진단 장비를 통한 정확한 진단과 맞춤형 치료로 함께 이겨냅니다.

📍 리본동물의료센터 소화기내과

간, 담도, 위장관 등 소화기계 질환은 다양한 증상과 복잡한 병태생리를 가지므로, 정확한 진단과 체계적인 치료가 필수적입니다.
본 센터는 반려동물의 소화기계 질환에 대한 전문적인 진단과 치료를 제공합니다.

구토, 설사, 식욕부진, 체중 감소 등 다양한 소화기 증상으로 내원하는 아이들의 근본적인 원인을 파악하기 위해 최신 진단 장비와 전문 지식을 활용하고 있습니다.
리본동물의료센터는 반려동물의 소화기 건강을 지키기 위해 최선을 다하고 있으며, 전문적인 진료와 따뜻한 돌봄으로 보호자 여러분의 신뢰에 보답하겠습니다.

진료 항목 소개

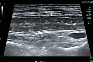
  1. 복부 초음파 검사

    간, 담낭, 췌장, 위장관 등의 구조적 이상을 평가하여 질환의 유무를 확인합니다. 실시간 영상으로 장기의 형태, 크기, 내부 구조를 정밀하게 모니터링합니다.
    비침습적이고 안전하게 소화기계 문제를 스크리닝하고 진단합니다.

  2. 내시경 검사 (Endoscopy)

    위장관 내부를 직접 관찰하여 염증, 궤양, 종양 등의 병변을 진단합니다. 필요시 조직 생검을 통해 정확한 병리학적 평가가 가능합니다.
    (예: 간염 환자의 경우, 협진을 통해 복강경 생검 고려) 이물 제거 등 치료적 시술도 일부 가능합니다.

  3. 혈액 및 생화학 검사

    간 기능 지표, 췌장 효소, 염증 마커 등을 측정하여 전신적인 건강 상태를 평가합니다.
    소화기 질환의 원인 감별 및 중증도 파악에 필수적입니다. 치료 반응 평가 및 예후 예측에도 중요한 정보를 제공합니다.

  4. 간염 및 간경변증

    간세포의 염증과 섬유화로 인한 간 기능 저하를 조기에 진단하고 관리합니다. 만성 간질환의 진행을 늦추고 합병증을 예방하기 위한 치료를 시행합니다.
    (진단/협진 사례: 간염 환자의 복강경 생검, 간종양 환자의 경우 외과 협진을 통한 복강경 종양 제거 계획 수립)

  5. 담도계 질환

    담낭염, 담석증, 담도 폐쇄 등 담도계의 이상을 정확히 평가하여 치료합니다.
    황달, 복통 등의 증상을 유발하는 담도계 문제에 대한 내과적 관리 및 외과적 치료 연계를 진행합니다.

  6. 췌장염 (Pancreatitis)

    급성 및 만성 췌장염의 진단과 통증 관리, 식이 조절 등을 통해 반려동물의 회복을 돕습니다.
    췌장 기능 보조 및 재발 방지를 위한 장기적인 관리 계획을 수립합니다.

  7. 위장관 질환

    염증성 장질환(IBD), 위염, 장염, 궤양, 종양 등 다양한 위장관 질환에 대한 포괄적인 진료를 제공합니다.
    만성적인 구토, 설사, 혈변 등의 원인을 규명하고 맞춤형 치료를 시행합니다.

의료진 철학 및 접근 방식

정확한 진단에서 시작되는 맞춤 치료, 보호자와 함께 소통하며 최적의 건강을 찾아갑니다.

  • 근거 중심의 정확한 진단

    다양한 증상과 복잡한 병태생리를 가진 소화기 질환의 원인을 찾기 위해 복부 초음파, 내시경, 혈액 검사 등 전문 진단 장비와 체계적인 검사 프로토콜을 활용합니다. 이를 통해 질병의 정확한 상태를 파악하고, 최적의 치료 방향을 설정합니다.

  • 환자 맞춤형 체계적인 치료 계획

    진단 결과에 따라 각 반려동물의 상태, 나이, 기저질환 등을 종합적으로 고려하여 개별 맞춤 치료 계획을 수립합니다. 약물 치료, 식이 관리, 생활 습관 교정 등 필요한 치료법을 통합적으로 적용하여 효과를 극대화합니다.

  • 보호자 중심의 진료 서비스 및 소통 강화

    리본동물의료센터는 보호자와의 소통을 중요시하며, 진단 결과와 치료 계획에 대해 상세히 설명하고 보호자의 이해를 돕습니다. 치료 과정 중에도 충분한 상담을 통해 보호자님의 궁금증을 해소하고, 함께 치료 결정에 참여할 수 있도록 지원합니다.

  • 삶의 질 향상을 위한 노력

    단순히 질병을 치료하는 것을 넘어, 반려동물이 편안하고 건강한 삶을 유지할 수 있도록 통증 관리, 영양 관리 등 삶의 질 향상을 위한 다각적인 노력을 기울입니다.

장비 및 실제 치료사례

  • 만성 구토와 설사로 내원한 반려견, 내시경 및 조직검사를 통해
    염증성 장질환(IBD) 진단 후 맞춤 식이 및 약물 관리로 증상 개선

    수개월간 지속된 소화기 증상으로 고생하던 OOO(환자명)은 정밀 검사를 통해 IBD로 진단받았습니다. 이후 전문적인 내과 관리 프로그램을 통해
    구토와 설사 증상이 현저히 개선되었으며, 현재 꾸준한 관리로 건강한 생활을 유지하고 있습니다.

  • 급성 황달 증상을 보인 반려묘,복부 초음파 및 혈액검사로 담도계 질환
    진단 후 신속한 처치로 회복

    갑작스러운 황달과 식욕부진으로 내원한 XXX(환자명)은 응급 검사를 통해 담도계의 심각한 문제를 확인하였습니다.
    즉각적인 내과적 처치 및 필요한 경우 외과와의 협진을 통해 위험한 고비를 넘기고 건강을 되찾았습니다.

  • 반복적인 췌장염으로 고통받던 노령견, 정밀 진단과 철저한 식이관리,
    통증 관리를 통해 재발률 감소 및 삶의 질 향상

    잦은 췌장염 재발로 힘들어하던 △△△(환자명)에게 소화기내과 전문팀의 집중 관리가 이루어졌습니다.
    정밀 진단을 바탕으로 한 맞춤형 식이요법과 통증 관리, 지속적인 모니터링을 통해 췌장염 재발 빈도를 크게 줄이고 활력을 되찾았습니다.

보호자 FAQ (자주 묻는 질문)

  • 반려동물이 자꾸 토하거나 설사를 하는데, 원인이 무엇일까요?

    구토와 설사는 매우 다양한 원인으로 발생할 수 있습니다. 식이 문제, 감염, 이물 섭취, 스트레스부터 췌장염, 간질환, 염증성 장질환(IBD), 종양 등 심각한 질환의 증상일 수도 있습니다.
    정확한 원인 감별을 위해 혈액 검사, 분변 검사, 영상 검사(초음파, X-ray), 경우에 따라 내시경 검사 등이 필요합니다.

  • 내시경 검사는 꼭 필요한가요? 위험하지는 않나요?

    내시경 검사는 위장관 내부를 직접 눈으로 확인하고, 필요한 경우 조직을 채취하여 정확한 진단을 내리는 데 매우 유용한 검사입니다. 특히 만성적인 소화기 문제나 종양이 의심될 때 권장됩니다.
    모든 마취에는 약간의 위험이 따르지만, 본원에서는 숙련된 의료진이 철저한 사전 검사와 모니터링 하에 안전하게 진행하므로 크게 걱정하지 않으셔도 됩니다.

  • 반려동물 간 수치가 높게 나왔는데, 어떻게 해야 하나요?

    간 수치가 높다는 것은 간세포 손상이나 기능 이상을 시사할 수 있습니다. 원인은 간염, 간종양, 담도계 문제, 약물 부작용 등 다양합니다.
    정확한 원인 파악을 위해 추가적인 혈액 검사, 복부 초음파 검사, 경우에 따라 CT나 조직검사가 필요할 수 있습니다. 진단 결과에 따라 적절한 내과적 치료와 관리가 이루어져야 합니다.

  • 염증성 장질환(IBD)은 완치가 가능한가요?

    염증성 장질환(IBD)은 면역 매개성 만성 염증 질환으로, 현재까지 완치의 개념보다는 꾸준한 관리를 통해 증상을 조절하고 삶의 질을 유지하는 것을 목표로 합니다.
    맞춤형 식이요법, 면역 조절 약물 등을 통해 대부분의 환자에서 양호한 예후를 기대할 수 있으며, 정기적인 검진과 관리가 매우 중요합니다.

통합 의료 시스템

간·담도·소화기내과 - 임상병리과(혈액 및 생화학 검사, 조직 병리 검사) → 외과(필요 시 생검, 수술치료 연계), 임상병리과 → 영상의학과(복부초음파, 내시경 등)

리본동물의료센터 간·담도·소화기내과는 복잡하고 다양한 소화기계 질환의 정확한 진단과 효과적인 치료를 위해 각 분야 전문 의료진과의 유기적인 협진 시스템을 운영합니다.
영상의학과의 정밀한 복부 초음파 및 내시경 검사 지원, 임상병리과의 신속하고 정확한 혈액 및 조직 검사 분석을 바탕으로 소화기내과에서 질병을 진단합니다.

치료 과정에서 외과와의 긴밀한 협력을 통해 담낭 절제, 종양 제거, 장관 이물 제거 등 필요한 수술적 처치를 원활하게 연계하며,
중증 환자의 경우 응급중환자의학과와의 협진을 통해 집중적인 관리를 제공합니다.
이러한 다각적인 협진은 반려동물에게 최적의 맞춤형 치료를 제공하고 회복 가능성을 높이기 위한 리본동물의료센터의 약속입니다.

Re:born ANIMAL MEDICAL CENTER

진료 예약 및 상담 안내