강아지 물티슈 섭취 -소장 이물 제거술
- 관리자
- 작성일2025.12.23
- 조회수78
[본문 한 눈에 보기]
✅ 반복적인 구토와 혈성 구토 증상으로 내원한 환자에서 영상 검사상 소장 이물이 확인되었습니다.
✅ 수술 전 수액으로 안정화 후 소장 절개술을 통해 이물을 제거하였고 장의 생존성은 양호했습니다.
✅ 조기 수술로 장 절제 없이 회복이 가능했으며 합병증 없이 안정적인 경과를 보였습니다.
개 소장 이물 수술 케이스 소개
2–3일 전부터 vomiting이 심해졌고 하루 1회 정도 노란색 구토가 있었습니다.
금일에는 5–6회 구토했고 마지막에는 혈액이 섞여 나왔습니다.
이전 산책 중 물티슈를 먹은 전력이 있으며 금일 아침부터 식욕이 떨어져 식이를 거부했습니다.
통증·불안·구토로 스트레스 반응이 동반된 상태로 보이며 반복 구토로 탈수·전해질 불균형 가능성이 있습니다.
.png)
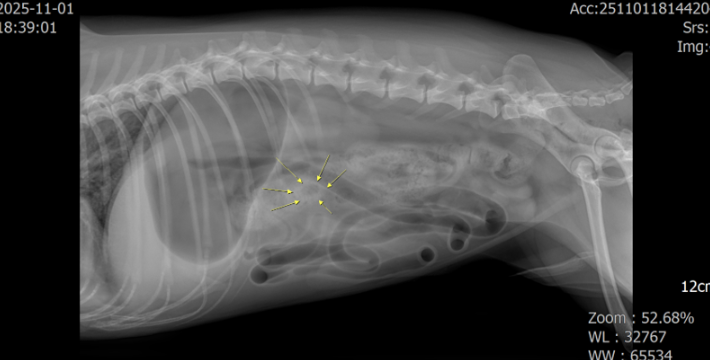
X-ray
소장의 이물 음영이 보이고 mechanical obstruction으로 인해 소장의 가스음영이 관찰되었고 더 명확히 이물의 존재 확인을 위해 초음파 검사가 진행되었습니다.
.png)
Ultrasound에서 small intestine 내 foreign body가 확인되었고 Intestinal foreign body로 인한 mechanical obstruction이 강하게 의심됩니다.
주요 증상
반복적인 구토 → 혈성 구토 발생, 식욕 저하
(과거 물티슈 섭취 전력 확인)
진찰 소견
통증과 불안, 반복 구토로 인한 탈수 및 전해질 이상 의심
진단 결과
X-ray와 초음파 검사에서 소장 내 이물로 인한 장폐색 확인
치료 방향
수액으로 상태를 안정화한 뒤 소장 이물 제거 수술 진행
1) 수술 전 안정화
반복된 vomiting으로 인한 탈수·전해질 이상 여부를 모니터링했고 IV fluid로 1차 교정을 시작했습니다.
2) 수술적 교정
.png)
1. 배를 중앙선(Ventral midline celiotomy)으로 열고 GI tract 전체를 차례로 확인해 foreign body 위치와 주변 상태를 봅니다.
2. 장 색, serosa, mesenteric pulse, peristalsis로 small intestine의 viability를 판단하고, 괴사나 다발성 perforation이없기에 Enterotomy를 실시하였습니다
3. 이물이 있는 small intestine 구간은 moistened sponge로 둘러 오염이 다른 곳으로 퍼지지 않게 차단합니다.
.png)
4. 이물 바로 뒤쪽 antimesenteric border에 작은 절개(enterotomy)를 만들어 통로를 냅니다.
5. 장을 부드럽게 자극해 이물을 절개창으로 옮겨 꺼내고, 과도한 당김 없이 양쪽 장에 추가 손상·이물이 없는지 다시 확인합니다.
.png)
6. warm sterile saline으로 장 안팎을 씻고 오염된 기구·장갑을 교체한 뒤 봉합하고
마지막에 saline을 넣어 leak test로 suture line 누수가 없는지 확인해주었습니다.
.png)
① 수술 전 안정화
반복된 구토로 인한 탈수와 전해질 이상을 먼저 확인하고
수액 치료로 몸 상태를 안정시킨 뒤 수술을 진행했습니다.
② 수술적 교정
복부를 열어 소장 전체를 확인하고 장의 상태가 살아 있어
소장을 작게 절개해 이물만 제거했습니다.
수술 중 오염을 최소화하고 봉합 후에는 누수 여부까지 꼼꼼히 확인했습니다.
질병 소개
Small intestine(소장) 안에 foreign body(장난감 조각, 물티슈, 비닐, 나뭇가지, 뼈, 줄 등)가 걸려 음식물과 가스가 통과하지 못하는 상태를 말합니다.
Linear foreign body(실·끈·로프·천 줄기)는 장이 물체를 따라 아코디언처럼 접히는 plication을 만들고 보이지 않는 mesenteric border 쪽 미세한 구멍(perforation)이 여러 개 생기기 쉬워 더 위험합니다.
진단은 무엇을 언제 삼켰는지, 구토 횟수·색, 복통 여부, 탈수 징후를 확인합니다.
X-ray상 여러 가스 찬 소장 고리가 겹겹이 보이면 obstruction을 의심합니다.
Ultrasound로는 foreign body 자체, plication, 소장 확장 구간, 장운동 저하, 복수 여부 등을 확인하는 데 매우 유용합니다.
또한 혈액검사로 탈수와 전해질 불균형, 염증 정도를 평가합니다.
.png)
아이가 삼킨 foreign body가 small intestine을 막으면 막힌 지점 ‘앞쪽’에 공기와 물이 몰려 배가 빵빵해지고 구토가 납니다.
막혀서 장벽의 림프·정맥 배출(lymphatic/venous drainage)이 안 되면 벽이 붓고(edema), 안쪽 층인 mucosa에 압력이 올라갑니다.
이렇게 부은 장은 분비물은 더 많이 내고(secretion↑) 흡수는 덜 해서(absorption↓) 장 안에 fluid와 electrolytes가 점점 더 쌓입니다.
장 안이 점점 팽창하고 압력이 올라갈수록 혈류가 눌려 ischemia(산소부족)가 생기고 장벽 방어가 무너지면 장내 bacteria가 증식·이동해 염증이 심해집니다.
시간이 지연되면 장벽이 perforation되거나 내용물이 복강으로 새어 septic peritonitis가 될 수 있어 생명을 위협합니다.
반복 구토로 potassium, chloride 손실이 크고 구토가 심해지며 피가 섞일 수도 있습니다.
장이 매우 팽창·통증이 심함·열이 나거나 무기력해짐·잇몸이 창백해짐·배가 빠르게 불러옴 등은 perforation 또는 septic peritonitis 신호일 수 있어 즉시 수술이 필요합니다.
소장이물은 단순한 소화 문제가 아니라
✔ 장을 막고
✔ 혈류와 기능을 망가뜨리며
✔ 치료가 늦어지면 생명을 위협할 수 있는 질환입니다.
조기 진단과 빠른 치료가 무엇보다 중요합니다.
수술은 방법
접근: 보통 ventral midline celiotomy로 복부를 열어 전체 small intestine을 차례로 살핍니다.
Enterotomy: 장이 살아있고 손상이 적으면 장을 길이 방향으로 작게 절개해 foreign body만 꺼냅니다.
Intestinal resection and anastomosis: 장이 괴사했거나 미세한 구멍이 여러 곳이면 병든 구간을 절제하고 건강한 장끼리 이어줍니다.
Linear foreign body는 여러 지점에서 조심스럽게 꺼내야 하며 과도한 당김은 숨은 perforation을 만들 수 있어 금합니다.
수술 중에는 suture line의 안전성을 확인하고 필요 시 omentum으로 봉합부를 감싸 reinforcement를 합니다.
소장이물 수술은 장을 살릴 수 있는지 먼저 판단한 뒤
✔ 가능하면 이물만 제거하고
✔ 불가능할 경우 손상된 장을 절제해 다시 연결하며
✔ 수술 중·후 안전성을 최우선으로 확인하는 과정입니다.
보호자 Q&A
Q. 내시경으로도 가능할까요?
A. 위 에 머물러 있는 일부 물체는 내시경이 가능하지만, small intestine으로 내려간 foreign body는 수술이 가장 안전합니다.
Linear foreign body는 내시경으로 당기면 오히려 장을 찢을 수 있습니다.
이물이 위에 머물러 있는 경우에는 내시경으로 제거할 수 있습니다.
하지만 소장으로 내려간 경우에는 수술이 가장 안전한 방법입니다.
특히 실이나 끈 같은 물체는 내시경으로 당기면 장을 찢을 위험이 있어 권장되지 않습니다.
Q. 응급수술인가요, 수액으로 안정화하나요?
A. perforation이나 septic peritonitis가 의심되면 즉시 수술이 필요합니다.
그렇지 않다면 보통 몇 시간 내에 빠르게 수액·통증·산소로 안정화한 뒤 같은 날 수술합니다.
장에 구멍이 났거나 심한 복막염이 의심되면 즉시 수술이 필요합니다.
그 외의 경우에는 보통 짧은 시간 동안 수액과 통증 조절로 상태를 안정시킨 뒤 같은 날 수술을 진행합니다.
Re:born ANIMAL MEDICAL CENTER