[강아지 구토 · 황달 · 복부 팽만] 조민수 진료수의사, EHBO와 괴사성 췌장염이 동반된 환자의 집중 관리 사례
- 관리자
- 작성일2026.04.24
- 조회수25
강아지 급성 췌장염 및 간외 담관 폐색(EHBO) 치료 사례
-
병명: 급성 췌장염 및 간외 담관 폐색으로 인한 황달
-
증상: 지속적인 구토 식욕 부진 고열 심한 탈수 복부 팽만 및 통증 황달
-
치료명: 집중 수액 처치 및 약물 요법(항생제 진통제 항염제 등) 담낭 천자 시술
[본문 한 눈에 보기]
-
해소되지 않는 구토와 복부 통증으로 내원한 10살 포메라니안 환자는 검사 결과 췌장 수치(cPL)와 염증 수치(CRP)가 측정 불가능할 정도로 상승한 심각한 급성 췌장염 상태였습니다.
-
췌장의 부종이 담관을 압박하여 담즙 배출이 막히는 간외 담관 폐색(EHBO)과 황달이 동반되어 상태가 악화되었으며 이를 해결하기 위해 정밀한 약물 치료와 함께 정체된 담즙을 직접 뽑아내는 응급 담낭 천자 시술을 시행하였습니다.
-
시술 이후 황달 수치가 빠르게 안정되고 자발 식이를 시작하는 등 극적인 호전을 보였으며 현재는 저지방 식이 관리와 정기적인 검진을 통해 재발 방지에 집중하며 건강하게 지내고 있습니다.
CASE ) EHBO와 괴사성 췌장염이 동반된 환자의 집중 관리 사례
증례 소개
10세 3개월령의 포메라니안 환자는 구토와 식욕 부진을 주소로 타 병원에서 진료 후 구토 증세가 해소되지 않아 원인 규명 및 치료를 위한 의뢰로 본원에 내원하게 되었습니다.
보호자 분께서는 장염에 준한 처방약을 꾸준히 복용했음에도 불구하고 해소되지 않는 구토와 식욕 부진의 원인이 정확히 무엇인지 치료가 가능한 상태인지 알고 싶어 하셨습니다.
진단 과정
초기 평가
내원 당시 환자는 체온이 39.3도로 고체온 증상을 보이고 있었으며 지속된 구토로 인해 침과 눈물이 생성되지 않을 정도로 심각한 탈수 증세를 보였습니다.
또한, 배를 누를 때마다 통증 반응을 보일 정도로 부풀어 있었습니다.
복부 팽만 증상은 일반적으로 복강 내에 모종의 이유로 발생한 복수 혹은 복강 내 장기의 염증성 반응으로 인한 심각한 비후가 의심되는 소견입니다.
이와 같은 증상을 보이는 환자는 복강 내의 상태를 정확히 파악하기 위한 복부 Xray 촬영 및 복부 전장기를 면밀히 관찰하는 초음파 촬영을 필요로 합니다.
혈액 검사
해당 수치는 의뢰해 주신 병원에서 보내주신 자료입니다.
Lipase (LIPA) 수치 및 Amylase (AMY) 수치가 측정이 불가능할 정도로 상승되어 있는 모습이 확인되어 췌장염이 강력히 의심되었으나 췌장염을 진단하는 것은 이 두 수치만으로는 정확도가 매우 떨어지므로 추가적인 혈액검사가 진행되었습니다.
.png)
아래 사진들은 내원 직후 채혈한 혈액의 검사 결과입니다.
cPL은 canine Pancreas Lipase의 약자로 기존에 사용하는 Liapse 수치보다 더욱 정밀한 췌장염을 지시하는 지표로 사용됩니다.
추가적으로 CRP (C-reactive Protein) 검사를 진행했습니다.
CRP는 염증 반응 과정에서 활성화된 단핵구나 T 세포가 분비하는 인터루킨(IL)-1, IL-6, 종양괴사인자(TNF) 등의 자극에 의해 간에서 생성되는 급성기 단백질입니다.
.png)
환자의 경우 이 CRP 수치가 측정이 불가능할 정도로 상승해 있는 것이 확인되었습니다.
물론 CRP 수치는 어디든 염증이 발생하면 상승하는 수치이나 cPL 수치의 상승과 복부 팽만, 복부 통증의 호소 등 여러 정황을 조합했을 때 췌장염이 강력히 의심되는 환자였습니다.
마지막으로 진행된 검사는 혈액 내 함유된 전해질을 전반적으로 측정하는 검사였습니다.
이 검사는 장기간 식욕 부진, 구토, 설사 등 체내의 전해질이 과도하게 빠져나간 이력이 있는 환자에게 어떤 수액을 적용하는 것이 안전할지 판단하는 좋은 지표가 되어줍니다.
환자의 경우 지속적인 구토로 인해 위산의 불필요할 정도로 배출되어 대사성 알칼리증이 발생해 있었고, 저나트륨혈증, 저칼륨혈증, 저칼슘혈증 등 전반적인 전해질이 모두 불균형한 모습을 보이고 있었습니다.
영상 평가복부 Xray
환자의 복부 Xray 영상에서 뚜렷한 장기의 비대는 관찰되지 않았으나, 복강 내 선예도가 전반적으로 감소한 모습을 보이고 있었습니다.
이는 복강 내 복수가 차거나, 복막 혹은 복막 내 장기 대부분의 염증 소견을 의미합니다.
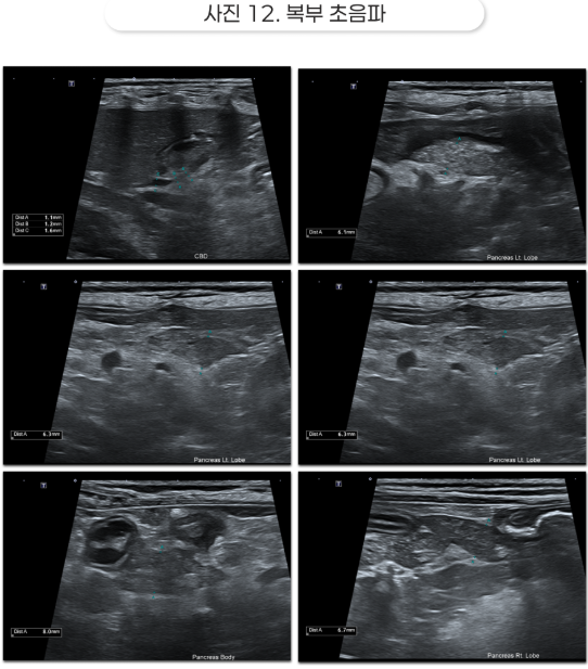
복부 초음파
초음파를 관찰했을 때 췌장 주변부에 소량의 복수가 확인되었습니다.
또한 지방이 다른 장기 주변의 지방보다 훨씬 하얗게 변해있었고, 췌장 자체의 밝기는 일반적인 췌장보다 더 크고 어둡게 관찰되었습니다.
이는 급성의 염증으로 인해 췌장에 부종이 발생할 경우 확인되는 소견으로, 주변 지방은 췌장의 염증 물질로 인해 자극을 받아 지방의 괴사 혹은 지방염으로 진행 중임을 짐작해 볼 수 있었습니다.
복수의 존재는 췌장의 염증이 오랜 기간 지속되어 발생했을 것으로 의심되었습니다.
.png)
여러 혈액 검사 수치와 영상학적 소견을 바탕으로 진단한 결과, 환자는 심각한 급성의 췌장염이 발생해 있었으며, 장염에 준한 약물을 복용했음에도 불구하고 구토와 현저히 떨어진 소화기계의 흡수율 때문에 약물 효과가 크지 않았던 것으로 의심되어 즉시 입원 후 집중 내과 치료를 받게 되었습니다.
치료 과정
환자는 입원 후 지속된 구토로 인한 탈수를 교정하고, 현저히 부족한 전해질을 공급하기 위해 공격적인 수액 처치가 진행되었습니다.
그와 더불어 위산의 역류로 자극받은 위벽과 식도를 관리하기 위한 위산 분비 억제제, 강력한 항구토제, 복통을 줄여주기 위한 강력한 향정신성 진통제, 염증으로 인해 감염에 극도로 취약해진 췌장과 소화 기관을 보호하기 위한 항생제를 적용하게 되었습니다.
특히나 환자 정도로 심한 췌장염 환자는 EHBO (Extra Hepatic Biliary Obstruction) 가 발생할 수 있습니다.
EHBO는 담즙을 분비하는 담관이 간 외의 원인으로 인해 폐쇄되는 상태로, 구조상 개는 담즙이 십이지장 내로 분비되는 구멍과 췌장이 십이지장으로 소화액을 분비하는 구멍이 동일합니다.
췌장염이 심하게 발생하는 경우 췌장의 부종이 이 구멍을 압박하게 되어 담즙도 제대로 분비되지 않는 경우가 종종 발생하게 됩니다.
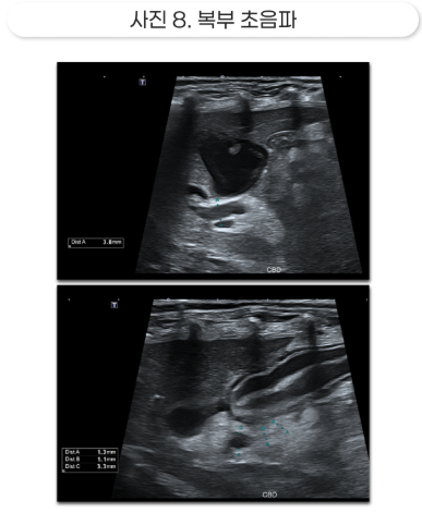
담즙의 배출이 막히게 되면 황달이 발생해 간세포에 독성을 유발하고, 고여있는 담즙은 세균 증식이 쉽게 일어나 세균성 담도염을 유발할 수 있습니다. 이를 모니터링하기 위해 환자는 입원 중 매일 혈중 빌리루빈 수치를 측정해 적절한 시기에 대응할 수 있도록 관리했습니다.
.png)
.png)
안타깝게도, 환자는 입원 4일차까지 복통, 식욕 부진의 개선이 확인되지 않았고, CRP의 개선이 확인되지 않았습니다.
또한, 빌리루빈 수치가 정상 이상으로 오르고 초음파상 췌장 실질이 염증으로 인한 괴사와 화농성 복수, 담즙의 배출이 원활하지 않아 발생하는 담관의 확장이 관찰되는 등 EHBO 발생 소견이 확인되었습니다.
이 경우 췌장의 염증성 부종을 빠르게 개선할 필요가 있어 스테로이드를 항염 용량으로 적용하게 되었습니다.
스테로이드는 염증 개선 효과는 매우 뛰어나나 간독성이 심한 약물로, 간 손상을 방지하기 위해 항산화제와 간보호제를 추가로 적용하게 되었습니다.
황달이 발생한 후 멎었던 구토가 재발했고, 복통은 개선 없이 지속되었습니다.
환자의 고통을 덜어주고자 항구토제를 수액화하여 24시간 유지하였고, 내장통에 효과가 좋은 진통제를 추가로 투여하게 되었습니다.
.png)
이처럼 약물적 치료를 장기간 유지했으나 환자의 황달은 개선 없이 악화만 되어갔습니다.
오히려 소화기계의 운동성이 더욱 떨어져 위에서 음식물이 내려가지 않는 모습만 관찰되었습니다.
황달로 인한 간의 손상을 해결하기 위해 선택한 것은 담낭 천자였습니다.
담낭 천자는 현재로썬 황달의 원인을 해결하는 것이 아닌, 저류된 담즙을 제거해 일시적인 황달의 개선을 유도하고, 간의 손상과 담관염의 발생을 지연시키는 일시적인 조치이며 담낭 파열의 가능성이 있는 위험한 시술이나 빠르게 상승하는 간 수치를 지켜볼 수만은 없었습니다.
.png)
다행히 담낭 천자는 성공적이었고, 저류된 담즙을 모두 제거할 수 있었습니다.
담낭 천자 이후 일시적인 빌리루빈 수치의 하락이 확인되었으며, 일시적인 재상승이 확인되었지만 이후 빠른 속도로 황달의 개선이 관찰되었습니다.
초음파상 담관의 확장, 췌장의 실질 부종과 괴사 소견 역시 해소되었으며, 복부의 팽만감이 사라지고 복부 통증을 더 이상 호소하지 않았습니다.
또한, 차츰 스스로 밥을 먹기 시작하는 모습이 포착되었습니다.
.png)
.png)
스스로 밥을 먹기 시작한 후로 CRP 수치의 빠른 감소와 황달의 해소까지 관찰되었습니다.
담낭 천자가 췌장염을 치료했다고 보기에는 어렵지만, 황달로 인한 전신 상태의 악화를 막고 빠른 빌리루빈 수치의 개선을 유도해 입원 기간을 단축했음은 확실했습니다.
환자는 황달이 해소된 다음 날 진통제 없이도 더 이상 통증을 호소하지 않아 퇴원하게 되었습니다.
예후 및 퇴원 후 관리
이후 외래 재검에서 췌장염의 완전한 해소가 확인되었고, 간 수치 또한 정상화되었습니다.
퇴원 후 관리 포인트는 다음과 같습니다:
|
1 . 저지방 식이 유지 및 간식 제한 |
||
|
2. 정기적 초음파 및 혈액검사(특히 ALKP, T-bil, cPL, CRP)로 재발 여부 확인 |
||
|
3. 스테로이드 장기 사용 부작용 모니터링 (간 수치 상승, 부신 위축 등) |
질병 소개 – 췌장염
01
정의
|
췌장염은 췌장에 염증이 생기는 질환으로, 급성과 만성으로 구분됩니다. |
|||
|
급성 췌장염 |
호중구 침윤, 부종/출혈, 괴사가 특징적이며, 조직 변화 (괴사, 부종 등)가 가역적일 수 있습니다. |
||
|
만성 췌장염 |
Low grade의 림프형질세포성 염증, 섬유화·위축 등 비가역적인 변화가 동반됩니다. 반복되는 급성 췌장염은 만성 췌장염으로 진행될 수 있습니다. |
||
02
원인/위험 인자
정확한 원인은 불명인 경우가 많으나, 위험 요인으로는 다음과 같은 인자가 있습니다.
|
대사·내분비 요인 |
비만, 당뇨병, 고지혈증, 갑상선 기능 저하증, 쿠싱 증후군(Cushing’s syndrome), 고칼슘혈증 |
|
|
식이·소화기 관련 요인 |
고지방 식이 / 이상 섭취, 간담도 질환, 소장 질환 |
|
|
외인성 요인(약물·물리적 손상) |
독성물질 (약물 독성, 아연, 유기인계 등), 담관/췌관 폐색 ,외상, 수술, 허혈-재관류 손상, 벌·개미 독침 |
|
|
감염성 요인 |
에를리키아, 바베시아, 주혈흡충 일부 종, 기생충(간질 등) |
|
품종/신호
- 미니어처 슈나우저, 요크셔 테리어, 미니어처 푸들, 테리어, 닥스훈트 등에서 보고 많음.
- 중년령 이후, 중성화된 개에서 상대적 위험 증가 보고
03
병태생리(핵심)
소화 효소는 불활성 (zymogen) 형태로 저장되나, 췌장 내에서 조기 활성화되면 자가소화와 광범위 염증이 발생합니다.
국소 염증 매개물 (IL-1, IL-6, TNF-α 등)과 호중구/혈소판 침윤
→ 괴사·지방괴사, 복강 내 효소 유출, 전신 염증반응 (SIRS), DIC, 다발성 장기 기능 부전 (MODS)으로 진행 가능.
04
임상 증상
|
구토(매우 흔함), 복통 (기도자세-prayer position), 식욕부진, 무기력, 설사 |
||
|
발열 또는 저체온, 탈수/쇼크, 빈맥·빈호흡, 점막 황달 (담도 폐쇄 시), 출혈성 소견 (점상출혈 등) 동반 가능. |
||
|
중증 시 허탈·붕괴, 응고 이상, 급성 신손상 (소변량 감소) 동반 가능 |
05
치료 / 관리
근간은 지지요법(supportive care):
1. 수액 요법: 탈수 교정, 관류 유지(IV crystalloid 중심)
2. 오심/구토 조절
3. 진통: 오피오이드 중심, 필요시 케타민/리도카인/가바펜틴 보조
4. 영양: 구토 조절 후 저지방 식이 추천됨
5. 전해질 교정
6. 항생제: 예방적 항생제는 저용량, 위장관 내의 혐기성 세균에 한정. 감염, 화농성, 괴사성 췌장염이 의심될 경우 강력한 전신 항생제가 필요
7. 스테로이드: 논란의 여지가 있으나, 일부 연구에서 조기 임상 호전·CRP 감소 보고됨. (증례에 따른 선택적 사용이 필요)
06
예후
경증 급성
대체로 양호
중증·재발성
예후 신중. 일부 연구에서 30일 내 사망률 ~33% 보고. 고빌리루빈혈증, 크레아티닌 상승, 저칼슘혈증, 대사성 산증, 중증 AKI 등은 불량 인자.
만성화 시
당뇨병 또는 췌장 외분비 기능부전 (EPI) 으로 이행 가능.
07
집에서 주의해야할 것
[기피해야 할 것]
기름진 음식·사람이 먹는 음식, 무분별한 간식.
[집에서 지켜볼 증상]
구토/복통, 무기력, 식욕부진, 황달
[재발 방지]
체중 관리, 저지방 식이, 기저질환(지질 이상·내분비) 동반 시 적극적 치료.
약물 복용 중인 환자는 약물 부작용에 의한 식욕 증가로 이차적 다식증이 생길 수 있어 엄격한 식이 관리 필요.
보호자님께 드리고 싶은 말씀
강아지의 췌장염은 단순한 구토나 장염처럼 보일 수 있지만, 실제로는 복통, 고열, 복부 팽만, 황달까지 동반될 수 있는 위험한 질환입니다.
심한 경우 담즙이 막히는 EHBO(간외 담관 폐색) 로 이어져 간 손상이나 패혈증으로 진행될 수 있습니다.
리본동물의료센터는 이러한 위급 상황에서도 정확한 진단과 신속한 집중 치료를 통해 환자를 회복시키고 있습니다.
실제로 환자는 황달과 구토, 복통으로 힘든 상태였지만, 정밀 검사와 담낭천자, 집중 내과치료를 통해 상태가 빠르게 호전되어 무사히 퇴원할 수 있었습니다.
췌장염은 비만, 당뇨, 고지혈증, 갑상선 질환, 고지방 식이 등 다양한 요인과 관련이 있습니다.
따라서 재발 방지를 위한 생활 관리와 정기 검진이 꼭 필요합니다.
아이에게 구토, 황달, 무기력 같은 증상이 나타난다면 지체하지 말고 리본 혹은 가까운 병원을 찾아주세요.
리본동물의료센터는 24시간 진료와 입원 관리 시스템으로 언제든 보호자님과 함께하겠습니다.
감사합니다.
Re:born ANIMAL MEDICAL CENTER