[강아지 당뇨] 조민수 진료수의사, 강아지 기운이 없고 토하는 '당뇨성 케톤산증(DKA)'
- 관리자
- 작성일2026.04.24
- 조회수18
어떤 증상으로 내원했나요?
보스턴 테리어 12살 ‘공주(가명)’는 최근 2주 동안 물을 많이 마시고 소변량이 늘었으며, 며칠 전부터는 식욕이 떨어지고 먹은 것을 토하는 증상이 나타났습니다.
보호자님께서 “기운이 없고 밥을 잘 못 먹는다” 하셔서 병원에 내원하게 되었습니다.
어떤 검사에서 문제가 확인되었나요?
검사 결과 공주(가명)는 당뇨성 케톤산증(DKA) 이라는 응급 질환으로 진단되었습니다.
혈당: 정상보다 훨씬 높은 수치 (200~300mg/dl 이상)
케톤: 정상보다 크게 상승 (5.7 mmol/L)
.png)
혈액 산도(pH): 7.2로, 몸이 산성화된 상태
전해질: 나트륨과 칼륨 수치가 불안정 → 치료 과정에서 보정 필요
.png)
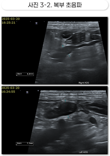
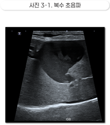
Etc: 담낭 내 슬러지 다수, 양측성 부신 비대
양측성 부신의 비대는 쿠싱 증후군의 강력한 근거.
쿠싱 증후군은 췌장염, 당뇨, 피부염, 탈모, 비만 등의 이차적인 문제를 유발할 수 있습니다.
.png)
혈관 내에 당이 조직에서 활용되지 못하고 잔류해 신체는 에너지를 얻기 위해 지방을 과도하게 분해하고 그 결과 생긴 ‘케톤’이라는 산성 물질이 혈액에 쌓여 몸이 산성화된 상태였습니다.
이와 같은 전해질 불균형 때문에 구토, 탈수, 기력 저하가 생긴 것입니다.
.png)
어떤 치료를 했나요?
DKA는 빠른 치료가 없으면 생명을 위협할 수 있습니다.|
인슐린 치료 |
혈당과 케톤을 빠르게 조절하기 위해 처음에는 수액과 같은 형태로 지속적으로 투여하다가, 케톤 수치가 어느 정도 감소한 이후에는 하루 두 번 피하 주사로 전환했습니다. |
|
|
수액 치료 |
탈수를 교정하고, 나트륨·칼륨 등의 전해질 균형을 맞췄습니다. |
|
|
대증 치료 |
구토를 줄이고 위장 운동을 도와주는 치료를 병행했습니다. |
|
|
항생제 치료 |
동반된 염증을 조절하기 위해 사용했습니다. |
|
치료 후 어떤 변화가 있었나요?
케톤 수치: 5.7에서 0.2까지 떨어져 정상화
산성화(pH): 7.2 → 7.4 이상으로 회복
전해질 균형이 정상 범위로 조정
.png)
구토 감소, 활력 회복
앞으로 어떻게 관리해야 할까요?
공주(가명)는 현재 DKA에서 회복되어 퇴원했지만, 당뇨병 자체는 평생 관리가 필요한 질환입니다.
인슐린: 하루 두 번 규칙적으로 주사 필요, 혈당에 따라 용량 조절을 위해 혈당 곡선 작성 필수
식이: 당뇨 관리용 처방식을 주식으로 해야 합니다.
모니터링: 1주일 내 재검진, 이후 정기적인 혈당 및 소변 검사 필수
보호자님이 꼭 지켜봐야 할 것들
아이가 갑자기 무기력해지지 않는지
계속 구토하거나 밥을 거부하지는 않는지
물을 과도하게 마시거나
소변량이 갑자기 늘지 않는지
당뇨성 케톤산증(DKA)이란 무엇인가요?
DKA는 조절되지 않는 당뇨병에서 발생하는 응급 합병증입니다.
인슐린의 부족으로 혈액 내의 당을 에너지원으로 사용할 수 없는 상태가 발생합니다.
신체는 이에 대응하기 위해 당이 아닌 저장된 지방을 분해하여 에너지를 얻으려 하고 이와 같은 상태가 오랜 기간 지속되면 지방이 분해되면서 발생하는 ‘케톤’이라는 산성 물질이 혈액에 쌓여 몸이 산성화됩니다.
|
주요 증상 |
|
|
잦은 음수와 배뇨 |
|
|
식욕 저하, 구토, 체중 감소 |
|
|
기력 저하, 무기력 |
|
|
심하면 탈수와 의식 저하, 혼수, 사망 |
치료: 집중적인 인슐린 치료, 수액 및 전해질 교정이 필수입니다.
예후: 조기에 치료하면 회복할 수 있지만, 재발 위험이 높아 꾸준한 당뇨 관리(인슐린 주사, 식이 조절, 정기검진)가 반드시 필요합니다.
공주(가명)는 심각한 DKA로 응급 입원했지만 치료를 통해 안정화되었습니다.
앞으로는 꾸준한 인슐린 주사, 식이 관리, 정기 검진이 생명을 지키는 핵심입니다.
보호자님이 병원과 함께 꾸준히 관리해 주신다면 아이는 안정적으로 생활할 수 있습니다.
Re:born ANIMAL MEDICAL CENTER