[강아지 구토] 13살 말티즈 신장질환, 강아지 잦은 구토와 밥 거부
- 관리자
- 작성일2026.04.24
- 조회수10
이번 사례는 노령견에게서 흔히 발생하는 만성 신부전 진단과 관리 과정을 보여주고 있습니다. 요청하신 형식에 맞춰 정리해 드립니다.
강아지 만성 신부전(CKD) 진단 및 관리 사례
-
병명: 만성 신부전 (IRIS CKD Stage 3), 고혈압
-
증상: 구토(일 2~3회), 식욕 부진, 간헐적 설사, 심한 구취, 탈수
-
치료명: 수액 처치 및 약물 요법(인 흡착제, 위장관 보호제, 혈압 관리약 등)을 통한 집중 관리
[본문 한 눈에 보기]
-
구토와 식욕 부진 증상으로 내원한 13살 말티즈 환자는 검사 결과 신장 수치의 현저한 상승과 구조적 변성이 확인되어 만성 신부전으로 진단되었습니다.
-
6일간의 입원 및 집중 치료를 통해 수치를 안정화하였으나 신장 기능의 영구적 손상으로 인해 최종 IRIS 단계 중 3단계(Stage 3) 및 고혈압 판정을 받았습니다.
- 만성 신부전은 완치가 아닌 '진행 속도 완화'가 목적인 질환이므로 퇴원 후에도 정기적인 모니터링과 전용 식이, 합병증 관리 약물을 통해 삶의 질을 유지할 계획입니다.
어떤 증상으로 내원했나요?
13살 말티즈 ‘몽이(가명)’는 요즘 하루에 두세 번 구토를 하고 밥도 잘 먹지 않아 병원에 왔습니다.
최근 들어 설사도 가끔 보였고, 입냄새도 심해진 것 같다고 보호자분이 말씀해 주셨습니다.
진단 과정
- 신체검사: 약 5% 정도 탈수가 있었고, 혈압은 200으로 높게 측정되었습니다.
- 혈액검사: 신장 수치가 크게 상승한 상태였습니다. [Cr 7.5, BUN 207, Phos 17.4]
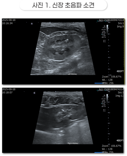
- 영상 검사: 신장을 초음파로 확인해 보니, 신장 표면이 매끄럽지 않고 울퉁불퉁하게 보였으며, 신장 안쪽에 돌처럼 굳은 물질이 일부 보였습니다. 신장의 겉 부분은 정상보다 밝게 보이고 수질과 겉질의 경계가 사라졌었습니다.
.png)
- 소변검사: 방광 천자를 통해 얻은 소변으로 비중·dipstick·세포 검사를 진행했습니다.
.png)
뇨비중 1.008, 세포학적 검사상에서 감염 소견은 확인되지 않았습니다.
=> 검사 결과, 신장 수치의 상승, 신장의 구조적 및 기능적 변화 확인되어 만성신부전 상태임을 확인했습니다.
치료 과정
몽이(가명)는 만성신부전으로 진단되어, 입원 중 수액 치료, 인 흡착제, 흡착 탄, 위장관 보호제 등을 투여하면서 신장 수치 모니터링 진행했습니다.
.png)
6일간의 집중치료로 신장수치가 감소하긴 했으나, 더 이상의 뚜렷한 개선은 어려운 상태였고, 최종적으로는 고혈압을 동반한 IRIS CKD stage 3 로 평가되었습니다.
퇴원 시에는 만성신부전에서 자주 동반되는 합병증(단백뇨, 고혈압, 위장관 증상 등)을 관리할 수 있는 약물과 함께, 1-3개월 간격으로 정기적인 혈액검사와 소변검사를 통해 수치를 확인하도록 안내했습니다.
만성신부전(Chronic kidney disease) 이란?
CKD(만성 신부전)은 강아지의 신장이 오랜 시간에 걸쳐 서서히 손상되어, 소변을 농축하고 노폐물을 걸러내는 능력이 점점 떨어지는 진행성 질환입니다.
치료의 목적은 질병의 완치라기보다 속도를 늦추고 합병증을 관리하는 병입니다.
질병의 주요 증상으로는 물을 많이 마심, 소변을 자주 보거나 양이 많아짐, 체중감소, 식욕부진, 구토, 설사, 무기력, 구취가 있습니다.
질병이 심화된 상태라면 소변이 안나오거나, 경련, 구강 궤양, 빈혈, 고혈압의 징후(ex. 실명) 등이 동반될 수도 있습니다.
어떻게 진단하나요?
IRIS(국제 신장학 연구 그룹) 이라는 권위 있는 기관 가이드라인에 따라, 다음과 같은 검사를 통해 신장의 기능을 평가합니다.
혈액검사: Creatinine, SDMA, BUN, Phos 수치 확인
소변검사: 단백뇨 여부, 소변 농도 확인
혈압 측정: 고혈압 여부 확인
영상 검사: 신장 크기·구조 평가
이렇게 얻은 결과들을 종합해 신장 기능이 얼마나 저하되었는지 파악하고, IRIS 기준에 따라 만성신부전을 4단계로 나눠 관리 계획을 세우게 됩니다.
.png)
[몽이(가명)의 경우엔 Creatinine 수치가 3.3-3.8 정도로 유지되고, 수축기 혈압이 160-180으로 IRIS CKD stage 3, hypertensive로 진단되었습니다.]
이 질병은 서서히 진행되고, 이미 생긴 손상은 완전 복구가 어렵고, 관리로 진행을 늦추고 합병증(단백뇨, 고혈압, 빈혈, 소화기증상, 탈수)의 발생을 막는 것이 질병 치료의 목표입니다.
다시 말해, CKD는 평생 관리가 필요한 질환이고, 적절한 식이와 약물, 정기 모니터링으로 증상 완화와 수명 연장을 목표로 합니다.
신장 기능의 75% 이상이 기능을 상실해야 혈액 검사상 신장 수치의 상승이 확인되는 만큼, 질병의 초기에는 증상이 거의 없을 수 있어 정기 검진(혈액·소변·혈압, 필요시 초음파)이 중요합니다.
아이들이 겉으로는 건강해 보이더라도, 실제로는 신장의 기능이 서서히 손상되고 있을 수 있습니다.
따라서, 정기적인 건강검진이 무엇보다도 중요합니다.
조기 진단이 이루어지면 아이가 더 오래, 더 편안하게 살아갈 수 있도록 치료 계획을 세울 수 있습니다.
“보이지 않는 질환일수록, 정기검진이 가장 좋은 예방법입니다.”
Re:born ANIMAL MEDICAL CENTER