[고양이 고무매트 섭취] 고양이 구토, 위내이물 제거, 내시경 시술
- 관리자
- 작성일2026.04.24
- 조회수4
.png)
고양이 위 내 이물(고무 매트) 제거 사례
-
병명: 위 내 이물
-
증상: 구토, 컨디션 저하, 이물 섭취 이력
-
치료명: 소화기 내시경을 이용한 이물 제거술
[본문 한 눈에 보기]
-
고무 매트를 뜯어 먹은 뒤 일부 토해내고 컨디션이 저하된 11개월 코리안 숏헤어 환자가 내원하였으며 복부 초음파를 통해 위 내 판상 이물을 확인하였습니다.
-
개복 수술 대신 안전한 내시경 시술을 진행하여 위 속에 머물러 있던 고무 매트 조각 4개를 모두 성공적으로 제거하였습니다.
- 이물질은 장폐색이나 천공 등 치명적인 합병증을 유발할 수 있으므로 섭취 목격 시 즉시 내원하여 조기에 제거하는 것이 무엇보다 중요합니다.
리본동물의료센터에 11개월 중성화 수컷 코리안 숏헤어가 내원했습니다.
.png)
보호자분은 환자가 5일 전 고무매트를 뜯어먹는 것을 발견하셨고 구토를 하여 매트 조각을 일부 토해냈으나 1일 전부터 컨디션 저하가 확인되었다고 하셨습니다.
장판 섭취 이력이 있는 환자였습니다.
.png)
신체검사, 혈액검사를 실시했지만 현증과 관련되어 특이적인 소견은 없었습니다.
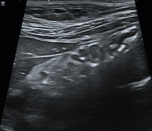
복부 초음파 검사상 위 내 shadowing을 일으키는 판상의 물질이 확인되었는데 아이가 뜯어먹은 고무 매트로 추정됩니다.
.png)
위내 이물 제거를 위해 내시경을 실시하였으며 고무매트 4조각을 제거하게 되었습니다.
.png)
이물 제거 후 초음파 검사 실시 결과 이물이 완전히 제거된 모습입니다.
수안동고양이동물병원 리본동물의료센터의 증례와 같이 매트와 같은 이물질은 소화가 되지 않으므로 장기간 소화기관에 머물러있을 경우 구토, 식욕부진 등의 증상이 나타나며 위장염, 장폐색 및 천공까지 발생할 수 있으므로 이물 섭취가 의심되거나 직접 목격을 하셨다면 병원에 내원하여 평가를 받아보시고 최대한 빨리 제거를 하는 것이 좋습니다.
이상 수안동고양이동물병원 리본동물의료센터였습니다.
감사합니다.
Re:born ANIMAL MEDICAL CENTER