[강아지 혈뇨] 정성호 진료수의사, 신장종양 복강경하 신장 적출술
- 관리자
- 작성일2026.04.23
- 조회수36
신장종양_복강경하 신장 적출술
정성호 진료수의사내원하신 이유
이번 환자는 며칠 전 혈뇨를 보였고 현재는 증상이 소실된 상태였으나 보호자분께서 원인에 대해 우려하셔서 내원하신 경우였습니다.
혈뇨의 원인은 요로결석, 방광염, 외상부터 종양까지 매우 다양합니다.
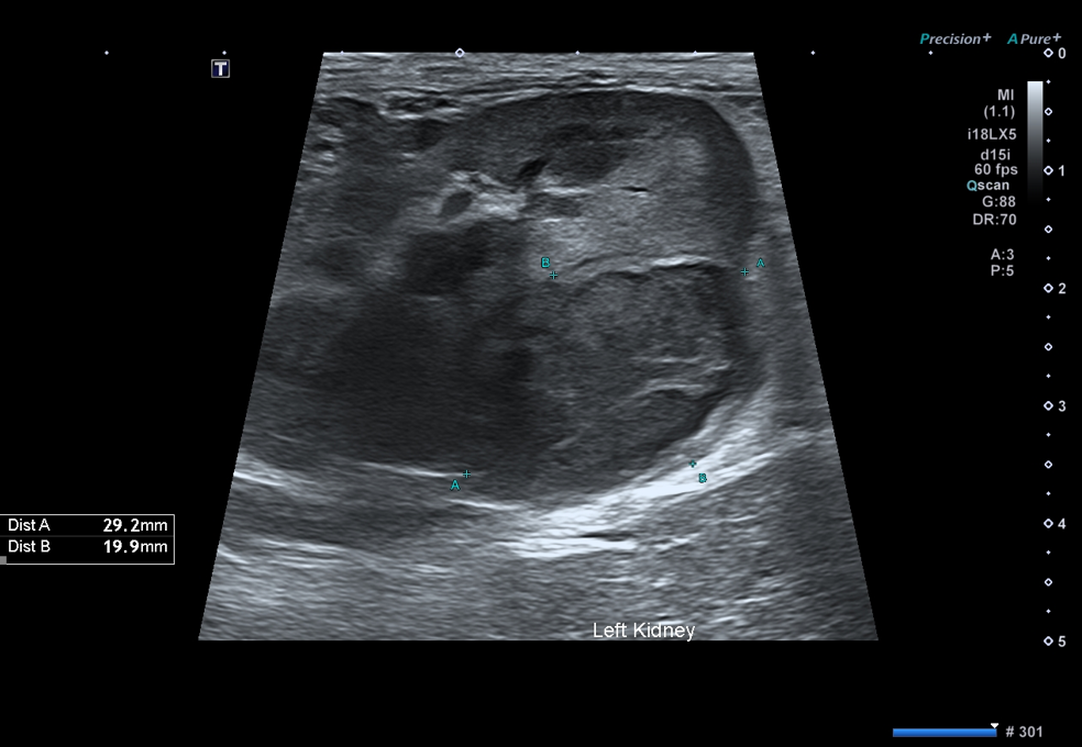
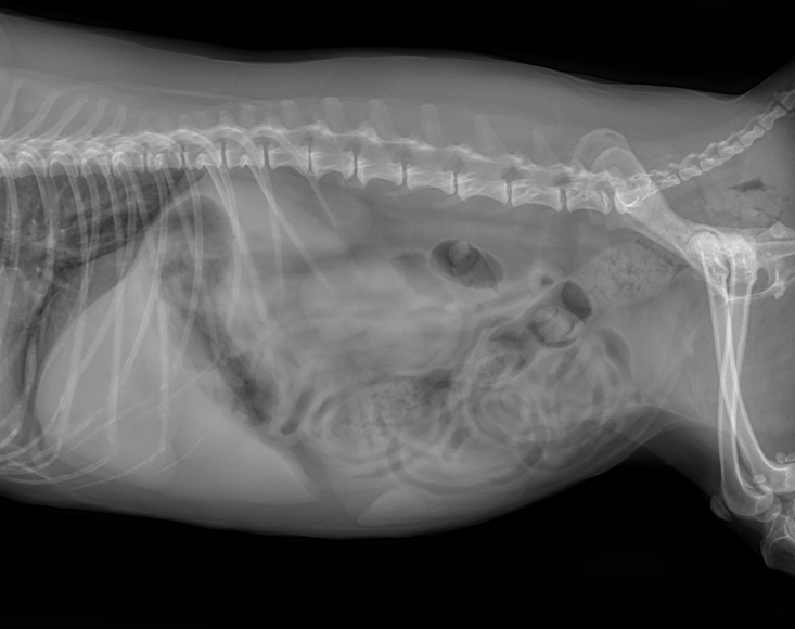
따라서 우선적으로 영상 검사를 통해 주요 원인을 감별하고자 복부 방사선 촬영과 초음파 검사를 진행하였습니다.
방사선 검사에서는 요로결석 등 특이 소견은 확인되지 않았습니다.
그러나 복부 초음파 검사에서 좌측 신장 후극에약 30 × 20 mm크기의 종괴가확인되었습니다.
.png)
.png)
진단
신장의 원발성 종괴중 약 85%는 RCC(Renalcellcarcinoma)로 알려져 있습니다.
RCC는악성 종양이기 때문에, 진단 시점에서 전이 여부를 평가하는 것이 매우 중요합니다.
본 환자의 경우 복부 초음파 검사에서는 국소 림프절 비대 소견이 관찰되지 않았으며 신체검사에서도 체표 림프절의 뚜렷한 비대는확인되지 않았습니다.
그러나 초음파와 신체검사만으로는 미세 전이를 완전히 배제하기 어렵기 때문에 보다 정밀한 전이 평가가 필요하다고 판단하였습니다.
특히 신장 종양은 진단 당시 약 16%에서 폐 전이가 확인되었다는 보고도 있어 폐 전이에 대한 민감도가 높은 CT 검사가 더욱 적절한 선택으로 판단되어 흉부 및 복부 CT를진행하기로 하였습니다.
.png)
RCC는악성 종양이기 때문에, 진단 시점에서 전이 여부를 평가하는 것이 매우 중요합니다.
본 환자의 경우 복부 초음파 검사에서는 국소 림프절 비대 소견이 관찰되지 않았으며 신체검사에서도 체표 림프절의 뚜렷한 비대는확인되지 않았습니다.
그러나 초음파와 신체검사만으로는 미세 전이를 완전히 배제하기 어렵기 때문에 보다 정밀한 전이 평가가 필요하다고 판단하였습니다.
특히 신장 종양은 진단 당시 약 16%에서 폐 전이가 확인되었다는 보고도 있어 폐 전이에 대한 민감도가 높은 CT 검사가 더욱 적절한 선택으로 판단되어 흉부 및 복부 CT를진행하기로 하였습니다.
.png)
.png)
CT소견–좌측 신장 후극피질 유래의 크기 26mm*40mm의 조영 후 저감쇠성음영–간 좌측 안쪽엽에종괴가보이나 양성 병변 가능성이 더 높음–폐 우측 후엽의 미세결정 음영 CT검사상 전이 가능성은 상대적으로 낮은 상황이었습니다.
이번 환자는 혈뇨를 몇 차례 보인 것이 전부였고, 현재 활력이나 전반적인 컨디션은 이전과 다름없이 양호한 상태였습니다.
그렇기 때문에 보호자분께서는 “이렇게 멀쩡한데 종양이라니” 하며 많이 당황하실 수밖에 없는 상황이었습니다.
그러나 종양성질환의 특성을 고려하면, 임상 증상이 혈뇨 하나뿐이었다는 사실이 오히려 이상한 상황은 아닙니다.
대부분의 종양은 상당히 진행되기 전까지 뚜렷한 임상 증상을 보이지 않는 경우가 많기 때문입니다.
다시 말해, 종양에서 전신 증상이나 통증, 체중 감소 등이 뚜렷하게 나타난 경우라면 이미 병이 상당히 진행된 상태일 가능성이 높습니다.
실제로 신장 종양의 전이 양상을 분석한 연구를 보면, 복강 내 전이는 약 54%에서 확인되었고, 반대측 신장으로의 전이도 최대 34%까지 보고된 바 있습니다.
그만큼 전이가 비교적 흔한 종양에 해당합니다. 그럼에도 불구하고 이번 환자의 경우, 영상 검사상 전이를 의심할 만한 소견이 확인되지 않았고, 임상 증상도 혈뇨 외에는 뚜렷하지 않았습니다.
이는 비교적 이른 시점에 발견되었을 가능성을 시사하며, 오히려 긍정적으로 해석할 수 있는 부분입니다.
수술을 해야하는가?
.png)
신장 원발성 종양을 진단했을 때 외과 수의사가 가장 먼저 고민해야 할 부분은, 해당 신장을 그대로 두었을 때의 위험성과 수술로 제거했을 때의 위험성을 비교·평가하는것입니다.
먼저 제거의 이점을 생각해보면, 신장 원발성 종양에서 수술적 제거는 생존기간을 연장하는 것으로 입증된 유일한 치료 방법입니다.
특히 이번 환자처럼 현재 영상상 전이 가능성이 낮은 경우에는, 수술의 필요성이 더욱 높다고 판단됩니다.
2006년 JVIM에발표된 연구에 따르면, 수술적 제거를 시행한 군의 중앙 생존기간(MST)은 16개월이었던 반면, 수술을 시행하지 않은 군의 생존기간은 1개월 미만으로 보고되었습니다.
이는 수술 여부가 예후에 결정적인 영향을 미친다는 점을 보여줍니다.
반면 항암치료의 경우, 시행 여부가 생존기간에 통계적으로 유의한 차이를 만들지는 못했습니다.
따라서 현재까지의 근거를 바탕으로 할 때, 신장 원발성 종양의 치료에서 가장 중요한 요소는 수술적 제거 여부라고 할 수 있습니다.
이 가운데 특히 신부전은 예후에 직접적인 영향을 미칠 수 있는 중대한 합병증입니다.
2024년 JAVMA에발표된 연구에 따르면, 일측 신장적출술후 약 17%에서 급성 신부전이 발생하였고, 이 중 일부는 그로 인해 사망에 이르렀습니다.
또한 만성 신부전은 약 45%에서 진단되었으며, 그중 약 3분의 1은 장기적으로 상태가 악화되어 안락사를 고려해야 할 정도로 치명적인 경과를 보였습니다.
이러한 점을 고려하여, 이번 환자는 수술 후 5일간 입원 관리하였습니다.
초기 관리에서 가장 중점을 둔 부분은 급성 신부전의 발생 여부였습니다.
이를 위해소변량을면밀히 모니터링하고,적절한 수액 요법으로 충분한 신장 관류를 유지하며 허혈성 손상을 최소화하는 데 집중하였습니다.
다행히 수술 후 급성 신부전은 발생하지 않았으며, 활력과 식욕 모두 양호한 상태를 유지하여 안정적으로 퇴원할 수 있었습니다.
이번 환자는 혈뇨를 몇 차례 보인 것이 전부였고, 현재 활력이나 전반적인 컨디션은 이전과 다름없이 양호한 상태였습니다.
그렇기 때문에 보호자분께서는 “이렇게 멀쩡한데 종양이라니” 하며 많이 당황하실 수밖에 없는 상황이었습니다.
그러나 종양성질환의 특성을 고려하면, 임상 증상이 혈뇨 하나뿐이었다는 사실이 오히려 이상한 상황은 아닙니다.
대부분의 종양은 상당히 진행되기 전까지 뚜렷한 임상 증상을 보이지 않는 경우가 많기 때문입니다.
다시 말해, 종양에서 전신 증상이나 통증, 체중 감소 등이 뚜렷하게 나타난 경우라면 이미 병이 상당히 진행된 상태일 가능성이 높습니다.
실제로 신장 종양의 전이 양상을 분석한 연구를 보면, 복강 내 전이는 약 54%에서 확인되었고, 반대측 신장으로의 전이도 최대 34%까지 보고된 바 있습니다.
그만큼 전이가 비교적 흔한 종양에 해당합니다. 그럼에도 불구하고 이번 환자의 경우, 영상 검사상 전이를 의심할 만한 소견이 확인되지 않았고, 임상 증상도 혈뇨 외에는 뚜렷하지 않았습니다.
이는 비교적 이른 시점에 발견되었을 가능성을 시사하며, 오히려 긍정적으로 해석할 수 있는 부분입니다.
수술을 해야하는가?
.png)
.png)
먼저 제거의 이점을 생각해보면, 신장 원발성 종양에서 수술적 제거는 생존기간을 연장하는 것으로 입증된 유일한 치료 방법입니다.
특히 이번 환자처럼 현재 영상상 전이 가능성이 낮은 경우에는, 수술의 필요성이 더욱 높다고 판단됩니다.
2006년 JVIM에발표된 연구에 따르면, 수술적 제거를 시행한 군의 중앙 생존기간(MST)은 16개월이었던 반면, 수술을 시행하지 않은 군의 생존기간은 1개월 미만으로 보고되었습니다.
이는 수술 여부가 예후에 결정적인 영향을 미친다는 점을 보여줍니다.
반면 항암치료의 경우, 시행 여부가 생존기간에 통계적으로 유의한 차이를 만들지는 못했습니다.
따라서 현재까지의 근거를 바탕으로 할 때, 신장 원발성 종양의 치료에서 가장 중요한 요소는 수술적 제거 여부라고 할 수 있습니다.
두 번째로고려해야 할 부분은, 종양이 있는 신장을 제거했을 때 남은 반대측 신장만으로 환자가 충분히 생명을 유지할 수 있는지에 대한 평가입니다.
가장 정확한 방법은 신티그래피를통해 각각의 신장 기능을 정량적으로 확인하는 것이지만, 실제 수의 임상에서는 비용적·기술적·시간적제약으로 인해 적용이 쉽지 않은 경우가 많습니다.
따라서 일반적으로는 혈액검사 수치와 영상검사를 종합하여 수술 가능성을 판단하게 됩니다.
이번 환자의 경우, 반대측 신장에 대한 배설성요로조영술에서뚜렷한 이상은 확인되지 않았습니다.
이를 통해 최소한 해당 신장이 소변을 생성하고 배설하는 기능은 유지하고 있다는 점은 확인할 수 있었습니다.
다만, 배설성요로조영술은“기능이 있다”는 것을 보여줄 뿐, 신장의 잔존기능을 정량적으로 평가해 주지는 못합니다.
그래서 함께 확인해야 할 지표가 BUN, Creatinine, 그리고 SDMA입니다.BUN과Creatinine은일반적으로 신장 기능이 약 75% 이상 손상되었을 때부터 상승하는 지표로, 비교적 말기 기능 저하를 반영합니다.
반면SDMA는약 25% 수준의 기능 저하가 발생했을 때부터 상승하기 시작해, 보다 조기에 신기능 변화를 감지할 수 있는 지표입니다.
다행히 본 환자는 수술 전 검사에서 BUN, Creatinine, SDMA 모두 정상 범위에 있었습니다.
물론 반대측 신장의 정확한 개별 기능을 정량적으로 측정한 것은 아니지만, 최소한 전체 신장 기능이 25% 이상 감소한 상태는 아니라는 점은 확인할 수 있었습니다.
이는 반대측 신장이 수술 후에도 충분히 보상 기능을 수행할 가능성이 높다는 의미로 해석할 수 있습니다.
이러한 영상 소견과 혈액검사 결과를 종합했을 때, 저는 이 환자에서 종양을 제거하는 것이 생존기간 연장에 실질적인 도움이 될 것으로 판단하였고, 이에 따라 수술을 포함한 치료 계획을 수립하였습니다.
수술 과정은 다음과 같이 진행되었습니다.먼저종양이 위치한 신장을 후복막에서주변 조직과 분리하였습니다.
신장을 충분히 노출한 뒤, 신혈관을 순차적으로 처리했습니다.우선신정맥을 둔성으로박리하여 분리한 뒤, 클립으로 결찰하고절단하였습니다.
이어서 신동맥역시 같은 방법으로 둔성박리 후 클립 결찰후 절단하였습니다.
그 다음 신장에서 이어지는 요관을 따라 원위부로 추적하여 방광에 가까운 지점에서 둔성분리한 후 클립으로 결찰하고절단하였습니다.
이렇게 신장, 혈관, 요관이 모두 안전하게 분리된 것을 확인한 뒤, 적출된 신장을 수거 백에넣어 복강 내 오염 없이 외부로 제거하였습니다.
최소침습적 접근을 통해 조직 손상을 줄이고 통증을 최소화하면서, 종양을 안전하게 제거하는 데 중점을 두고 수술을 진행하였습니다.
.png)
.png)
.png)
.png)
.png)
가장 정확한 방법은 신티그래피를통해 각각의 신장 기능을 정량적으로 확인하는 것이지만, 실제 수의 임상에서는 비용적·기술적·시간적제약으로 인해 적용이 쉽지 않은 경우가 많습니다.
따라서 일반적으로는 혈액검사 수치와 영상검사를 종합하여 수술 가능성을 판단하게 됩니다.
이번 환자의 경우, 반대측 신장에 대한 배설성요로조영술에서뚜렷한 이상은 확인되지 않았습니다.
이를 통해 최소한 해당 신장이 소변을 생성하고 배설하는 기능은 유지하고 있다는 점은 확인할 수 있었습니다.
다만, 배설성요로조영술은“기능이 있다”는 것을 보여줄 뿐, 신장의 잔존기능을 정량적으로 평가해 주지는 못합니다.
그래서 함께 확인해야 할 지표가 BUN, Creatinine, 그리고 SDMA입니다.BUN과Creatinine은일반적으로 신장 기능이 약 75% 이상 손상되었을 때부터 상승하는 지표로, 비교적 말기 기능 저하를 반영합니다.
반면SDMA는약 25% 수준의 기능 저하가 발생했을 때부터 상승하기 시작해, 보다 조기에 신기능 변화를 감지할 수 있는 지표입니다.
다행히 본 환자는 수술 전 검사에서 BUN, Creatinine, SDMA 모두 정상 범위에 있었습니다.
물론 반대측 신장의 정확한 개별 기능을 정량적으로 측정한 것은 아니지만, 최소한 전체 신장 기능이 25% 이상 감소한 상태는 아니라는 점은 확인할 수 있었습니다.
이는 반대측 신장이 수술 후에도 충분히 보상 기능을 수행할 가능성이 높다는 의미로 해석할 수 있습니다.
이러한 영상 소견과 혈액검사 결과를 종합했을 때, 저는 이 환자에서 종양을 제거하는 것이 생존기간 연장에 실질적인 도움이 될 것으로 판단하였고, 이에 따라 수술을 포함한 치료 계획을 수립하였습니다.
수술
환자는 고령이었기 때문에 수술 후 통증과 회복 부담을 최소화하고자 복강경을 이용한 최소침습적 신장적출술을시행하였습니다.수술 과정은 다음과 같이 진행되었습니다.먼저종양이 위치한 신장을 후복막에서주변 조직과 분리하였습니다.
신장을 충분히 노출한 뒤, 신혈관을 순차적으로 처리했습니다.우선신정맥을 둔성으로박리하여 분리한 뒤, 클립으로 결찰하고절단하였습니다.
이어서 신동맥역시 같은 방법으로 둔성박리 후 클립 결찰후 절단하였습니다.
그 다음 신장에서 이어지는 요관을 따라 원위부로 추적하여 방광에 가까운 지점에서 둔성분리한 후 클립으로 결찰하고절단하였습니다.
이렇게 신장, 혈관, 요관이 모두 안전하게 분리된 것을 확인한 뒤, 적출된 신장을 수거 백에넣어 복강 내 오염 없이 외부로 제거하였습니다.
최소침습적 접근을 통해 조직 손상을 줄이고 통증을 최소화하면서, 종양을 안전하게 제거하는 데 중점을 두고 수술을 진행하였습니다.
.png)
.png)
.png)
.png)
.png)
합병증&술후 관리
수술 후 발생할 수 있는 주요 합병증으로는 급성 신부전(AKI), 만성 신부전(CKD), 그리고 빈혈 등이 있습니다.
이 가운데 특히 신부전은 예후에 직접적인 영향을 미칠 수 있는 중대한 합병증입니다.
2024년 JAVMA에발표된 연구에 따르면, 일측 신장적출술후 약 17%에서 급성 신부전이 발생하였고, 이 중 일부는 그로 인해 사망에 이르렀습니다.
또한 만성 신부전은 약 45%에서 진단되었으며, 그중 약 3분의 1은 장기적으로 상태가 악화되어 안락사를 고려해야 할 정도로 치명적인 경과를 보였습니다.
이러한 점을 고려하여, 이번 환자는 수술 후 5일간 입원 관리하였습니다.
초기 관리에서 가장 중점을 둔 부분은 급성 신부전의 발생 여부였습니다.
이를 위해소변량을면밀히 모니터링하고,적절한 수액 요법으로 충분한 신장 관류를 유지하며 허혈성 손상을 최소화하는 데 집중하였습니다.
다행히 수술 후 급성 신부전은 발생하지 않았으며, 활력과 식욕 모두 양호한 상태를 유지하여 안정적으로 퇴원할 수 있었습니다.
.png)
Re:born ANIMAL MEDICAL CENTER