[고양이 헐떡거림] 신예지 진료수의사, 코숏 호흡 빠름, 횡경막 탈장 (diaphragm hernia)
- 관리자
- 작성일2026.04.23
- 조회수41
병명
횡격막 탈장 (Diaphragm hernia)
증상
- 헐떡거림
- 분당 60회 이상의 빠른 호흡
- 노력성 호흡
- 개구호흡을 동반한 호흡곤란
- 수면 중에도 계속되는 빠른 호흡
치료명
횡격막 탈장 수술적 교정
✅ 구조된 어린 고양이가 지속적인 헐떡거림과 빠른 호흡으로 내원했고 검사 결과 흉강 안으로 복부 장기가 들어간 횡격막 탈장이 확인되었습니다.
✅ X-ray와 초음파로 간과 장이 흉강 내에 위치한 것을 확인한 뒤 응급으로 탈장 장기를 제자리로 되돌리고 횡격막 결손을 봉합하는 수술을 진행했습니다.
✅ 수술 후 호흡은 빠르게 안정되었고, 어린 나이답게 회복도 빨라 건강하게 퇴원했으며 횡격막 탈장은 적절한 시기에 치료하면 예후가 좋은 질환입니다.
내원 이유
환자는 2주 전 구조되었으며 2-3개월로 추정되는 아기 고양이로 지속적인 헐떡거림으로 내원했습니다.
분당 60회가 넘는 노력성 호흡을 보이고 있었습니다.
보호자님은 처음에는 흥분하여 그렇다고 생각하셨지만, 수면 중에도 지속적으로 호흡수가 빨라 이상함을 느끼고 내원하셨습니다.
진단 과정
기타 전염성 감염병에 대한 키트 검사는 모두 음성이었고, 바이탈도 전반적으로 안정적이었습니다.
혈액 검사상에서는 약간의 간수치 상승, 젖산 상승이 나타났습니다.
.png)
원내에서도 개구호흡을 동반한 지속적인 호흡곤란을 겪고 있어 방사선 검사를 진행했습니다.
.png)
.png)
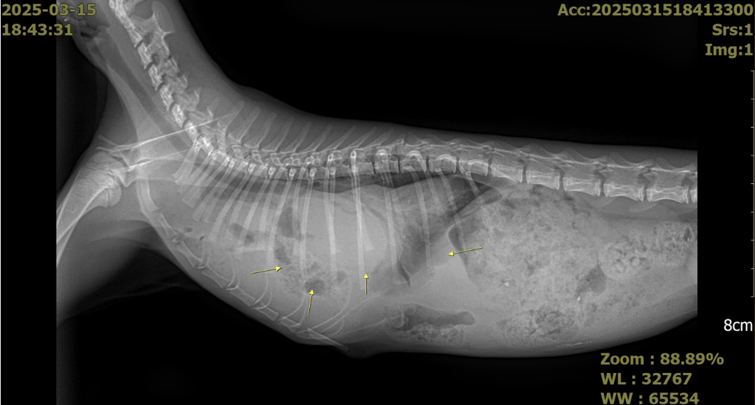
흉부 및 복부 X-ray를 촬영한 결과 흉수 및 복수가 모두 확인되었으며 심장 주변에 복강 장기들이 들어차면서 폐가 허탈되어 있는 모습을 확인할 수 있었습니다.
특히 폐 음영이 정상적으로 나타나는 부위가 없어, 호흡 곤란의 원인을 쉽게 확인할 수 있었습니다.
.png)
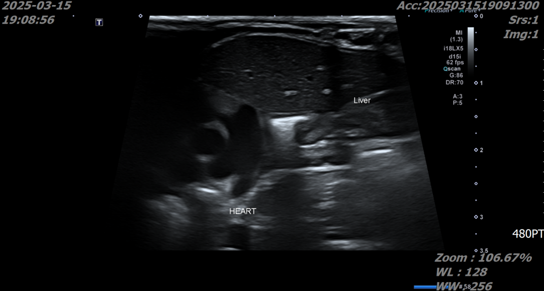
초음파 검사에서도 심장 옆 흉강 공간에서 간과 장이 발견되었으며 특히 간의 울혈이 확인되었습니다.
장기의 strangulation(혈행장애로 인한 허혈 상태)가 관찰되지는 않았으나 지속적인 호흡 곤란으로 긴급한 수술적 교정이 지시되는 상황이었습니다.
환자는 탈수 증상이나 혈액검사상 특이사항이 없어 바로 수술을 진행하였습니다.
수술
수술은 삼각형 모양의 횡격막 결손, 벌어져 융합되지 않은 caudal sternebrae를 확인할 수 있는 복부 정중 절개로 시행되었습니다.
.png)
.png)
탈장이 일어난 장기를 정상 위치로 되돌리고, 횡격막 결손은 등쪽에서부터 배쪽으로 단순 연속 봉합법을 통해 폐쇄했습니다.
.png)
봉합 후 흉강에 음압을 걸고, 복강을 세척하면서 다시 한번 횡격막의 완전성을 확인했습니다.
환자는 큰 특이사항 없이 마취에서 회복되었으며 매우 어리기 때문에 저혈당 위험이 있어 수술 중 혈당이 30분 간격으로 측정되었습니다.
.png)
.png)
술후 X-ray에서 횡격막 경계가 뚜렷하고, 폐가 잘 팽창된 모습을 확인할 수 있었습니다.
입원 관리 및 예후
입원 기간 동안 호흡 곤란 등 횡격막 탈장 재발 여부를 모니터링했습니다.
수술 직후부터 호흡 양상은 매우 안정화되었고 호흡수도 30-40회 수준으로 크게 감소했습니다.
통증 관리와 재관류성 폐수종 모니터링도 같이 진행했습니다.
아직 어린 고양이라서 매우 빠른 회복력과 훌륭한 식성을 보이며 큰 특이사항 없이 건강하게 퇴원하였습니다!
퇴원 후에도 양호한 활력과 호흡을 보였습니다.
질병 소개: Diaphragm hernia (횡격막 탈장)
횡격막은 흉강과 복강을 나누는 경계이며, 중앙의 힘줄 부분과 주변부 근육 부분으로 이루어져 있습니다. 특히 호흡을 할 때 음압을 형성하는 데 중요한 역할을 합니다.
.png)
횡격막 탈장은 이런 횡격막에 결손이 생기면서 복강 장기가 흉강으로 이동(탈장)하는 질환입니다.
개와 고양이에서는 주로 외상 후 발생하며(최대 85%), 드물게 선천성으로 나타나기도 합니다.
선천적으로 존재하던 작은 틈으로 외상 후 발생하는 경우도 적지 않습니다.
가장 흔한 증상은 호흡곤란이며, 운동 불내성, 식욕 저하, 구토, 복부가 비어 보이는 모습 등이 관찰될 수 있습니다.
간이나 위가 흉강으로 탈출한 경우 폐 압박이 심해지면서 급격한 호흡 곤란 및 부전이 발생할 수 있습니다.
특히 위의 경우, 호흡을 통해 가스가 유입되면서 위가 팽창이 동반되면서 폐를 눌러 빠르게 응급 상황이 될 수 있습니다.
또는 위장관 폐쇄로 인해 반복적 구토로 탈 수 상태가 유발될 수 있습니다.
장기가 단순히 미끄러지며 출입이 자유로운 경우 임상 증상을 일으키지 않을 수도 있으나 장기가 압박당하면서 원래 자리로 돌아오지 못하고 울혈을 일으키거나 심하면 순환부전으로 허혈성 괴사가 발생할 수 있습니다.
가장 효과적인 진단 방법은 흉부 방사선입니다.
흉강 내 복강 장기 음영이 확인되거나 횡격막 윤곽이 소실되면 탈장이 의심됩니다.
특히 장의 가스 음영이 흉강에서 발견되는 경우 빠르게 확진을 내릴 수도 있습니다.
흉수가 동반된 경우 방사선에서는 잘 보이지 않을 수 있지만 초음파 검사를 통해 장기의 위치와 횡격막 결손을 확인할 수 있습니다.
치료는 외과적 교정이 원칙입니다.
다만, 수술 전 환자를 안정화하는 것이 중요합니다.
최근 연구들에 따르면 충분히 안정화된 후 수술을 시행하면 높은 생존률을 기대할 수 있습니다.
반대로 수술이 너무 지나치게 지연되면 폐 압박이나 장기 손상 위험이 증가합니다.
환자의 상태에 따라, 탈장된 장기의 종류와 정도에 따라 수술 시기가 정해집니다.
일반적으로 복강 정중 절개로 진행하며 필요시 흉골 절개가 가능하도록 술부를 준비합니다.
탈장을 환원하고 봉합한 후에는 흉강내 음압을 형성하여 폐를 재팽장시켜야 합니다.
이때 과도하게 팽창시키면 재관류 손상이 발생하여 폐수종이 발생할 수 있습니다.
수술 후에는 특히 하루 동안 호흡 상태 모니터링과 통증 관리가 매우 중요합니다.
술후 기흉이 나타날 수도 있고 폐부종이 나타난 경우도 있어 흉강에 배액관을 장착하는 경우도 있습니다.
또 통증으로 복압이 상승하면 다시 탈장이 발생할 수 있어 진통이 필요합니다.
외상성 횡격막 탈장으로 내원 전 사망하는 비율이 15%에 이르지만 최근 보고에 따르면 수술 후 병원 퇴원까지의 생존률은 80-90% 정도로 매우 양호한 편입니다.
수술 후 재발률은 4-5% 정도로 매우 낮은 편입니다.
보호자님께 드리는 말씀
- 교통사고나 외상 등 사고 후 호흡이 이상해 보이면 즉시 내원해 주세요. 횡격막 탈장 뿐만 아니라 폐 타박상 등 심각한 손상이 동반되어 있을 수 있으며 빠른 내원과 처치가 생존률 상승에 큰 도움이 됩니다.
- 교통사고 같은 큰 외상이 아니더라도 선천적으로 가지고 있던 작은 구멍으로 탈장이 발생할 수 있습니다.
이전의 외상 이력이 없더라도 호흡 이상이 확인되면 병원에 내원해 주세요.
- 횡격막 탈장은 수술로 치료 가능한 질환이며 예후도 매우 좋은 편입니다.
- 수술 후 호흡 상태, 통증 등을 잘 관리하는 것이 횡격막 수복 후 합병증 위험을 크게 줄이는 데 도움이 됩니다.
Re:born ANIMAL MEDICAL CENTER