[강아지 심장병] 갑자기 숨이 차거나 기침이 심해졌다면? (건삭 파열)
- 관리자
- 작성일2026.04.22
- 조회수64
.png)
MMVD에서 건삭 파열의 빈도와 임상적 특징
이상문 영상센터장MMVD 환자에서 건삭 파열 발생률 및 위험 인자
Mitral valve(그림 1)는 2개의 leaflet, Chordae tendineae, Valve annulus, papillary muscle로 구성되며 퇴행성 승모판 질환(MMVD)은 이 중 어디에라도 퇴행성 변화가 나타나는 것을 말합니다.
(그림 2) 흔히 우리가 MMVD라고 하면 leaflet의 변화만을 생각하고 MMVD에 의해 건삭이 파열되었다라고 하면 왜그러지 하는 의문을 갖게 되는데 Mitral valve의 구성을 생각하면, 퇴행성 변화로 인해 건삭이 파열되는 것 또한 전혀 이상한 일이 아닙니다.
.png)
그림 Mitral valve의 구성요소
.png)
그림 Mitral valve의 myxomatous한 변화. Grade 1 : leaflet에 개별적인 결절 존재
Grade 2 : 큰 크기의 결절 존재
Grade 3 : 결절들이 합쳐지기 시작
Grade 4 : 건삭으로의 이환, leaflet에 현저한 변화 부풀음 건삭 비후와 파열
2015년 이후 발표된 연구들에 따르면, 전체 MMVD 환자의 약 15~20%에서 건삭 파열이 발생하는 것으로 보고됩니다.
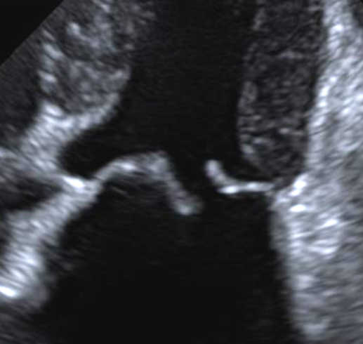
대표적으로 Serres 등(2007)의 연구에서는 MMVD를 가진 706마리의 개 중 114마리(16.1%)에서 초음파상 승모판 첨판의 flail leaflet(그림3)(첨판 끝이 좌심방 내로 뒤집혀 보이는 소견)으로 확인되는 건삭 파열이 진단되었습니다.
이들 중 93%에서 중증의 승모판 역류가 동반되어 있었으며, 건삭 파열은 질병 진행이 심해질수록 더 흔하게 나타났습니다.
.png)
그림 Anterior mitral valve의 Flail leaflet
품종 및 체중: 건삭 파열은 주로 소형견에서 발생하며, 한 연구에서는 건삭 파열이 발생한 개의 약 88.6%가 10kg 미만의 소형견으로 보고되었습니다.
. 특히 Cavalier King Charles Spaniel, 포메라니안, 시추 등의 소형 품종에서 MMVD 자체의 유병률이 높고 진행이 빠르기 때문에, 이들에서 건삭 파열이 자주 관찰됩니다.
반면 대형견에서는 건삭 파열이 비교적 드물지만 완전히 예외적이지는 않습니다.
. 예를 들어, 래브라도 리트리버나 보더 콜리와 같은 품종에서도 MMVD 말기에 건삭 파열이 발생할 수 있으며, 이때도 중등도 내지 중증의 판막 역류를 동반하게 됩니다
.연령: MMVD와 건삭 파열은 노령견에서 주로 발생합니다. 건삭 파열이 발생한 개들의 평균 연령은 약 12세로 보고되며(범위 6~17세), 이는 퇴행성 판막질환이 진행되어 심부전에 이를 정도로 시간이 경과한 이후에 건삭 파열이 나타나는 양상을 반영합니다.
성별: 일부 연구에서는 수컷에서 건삭 파열이 더 많이 보고되었습니다. 건삭 파열 환견 114마리 중 약 64%가 수컷이었다는 보고가 있으며, 이는 MMVD의 진행이나 합병증 발생에 성별이 영향을 줄 가능성을 시사합니다. 다만 모든 연구가 일관되게 성별 차이를 보여주는 것은 아니므로, 수컷이 다소 과대표되는 경향이 있다는 정도로 해석됩니다.
질병 단계: MMVD의 진행 단계별로 건삭 파열 발생률에 뚜렷한 차이가 있습니다. 무증상 초기 단계에서는 드물게 나타나지만, 심부전 단계에 이를수록 발생률이 크게 증가합니다
. 예를 들어 ACVIM 분류 기준으로 보면:
Stage B1 (심장비대 없는 무증상 단계): 건삭 파열 발생률 약 2% 미만
Stage B2 (심장비대 동반 무증상 단계): 약 20% 내외
Stage C (울혈성 좌심부전 단계, 치료가 필요한 단계): 발생률 30~40% 이상
Stage D (치료에 반응하지 않는 말기 단계): 발생률 70% 내외까지 증가
상기 Serres 등 연구에서는 임상중증도 분류(ISACHC class)별로 건삭 파열 유병률이 Class I(a) 1.9%, I(b) 20.8%, II 35.5%, III 69.6%로 나타났습니다.
이는 질병이 진행되어 심부전에 가까워질수록 건삭 파열이 동반되는 경우가 많아짐을 보여줍니다. 요컨대 중증도 높은 MMVD 환자일수록 건삭 파열이 흔하고, 건삭 파열의 존재 자체가 이미 상당한 판막 역류와 심방확장을 시사하는 소견이라 할 수 있습니다.
급성 건삭 파열 vs. 만성 건삭 파열의 임상 양상 및 예후
건삭 파열은 발생 양상에 따라 급성형과 만성형으로 나누어 생각할 수 있습니다.
급성 건삭 파열은 건강이 비교적 안정적이던 환자에서 갑작스럽게 건삭이 끊어지면서 심각한 판막 역류와 급성 좌심부전 증상을 유발하는 경우를 말하며, 만성 건삭 파열은 이미 진행된 MMVD 환자에서 소량의 건삭들이 서서히 손상되어 비교적 완만하게 임상 증상이 악화되거나, 과거에 건삭 파열이 있었으나 급성기를 넘겨 만성적 안정 상태로 관리되는 경우를 지칭합니다.
두 경우는 임상 증상, 영상 소견, 예후 면에서 차이를 보입니다:
증상 발현 및 임상 증상의 차이: 급성 건삭 파열 시에는 임상 증상이 갑자기 심각해지는 것이 특징입니다.
환자는 갑작스러운 호흡곤란과 기좌호흡, 심한 폐수종을 보이며, 분홍색 거품이 섞인 거품성 객담을 토해내기도 합니다
기존에 안정적이던 심잡음의 세기가 갑자기 증가하거나 새로운 잡음이 들리는 경우가 많습니다
심한 경우 실신이나 급사까지 유발될 수 있습니다.
- 반면 만성적인 건삭 파열의 경우, 한꺼번에 대량의 역류가 생기는 급성과 달리 서서히 진행하는 호흡곤란, 운동불내성, 만성 기침 등의 완만한 악화 양상을 띠는 경우가 많습니다.
작은 부건삭의 부분 파열인 경우에는 급성 폐수종 없이 기존 MMVD의 임상증상과 크게 구별되지 않는 상태로 경과할 수도 있습니다.
즉, 주요 1차 건삭(판막 모서리를 지지하는 주된 건삭)이 끊어지면 임상양상이 폭발적으로 악화되지만, 이차/삼차 건삭 등 소량의 파열은 일시적인 잡음 변화 정도로 나타나거나 기존 질환의 서서한 진행으로 나타날 수 있습니다.
영상학적 소견 차이 : 심초음파(Echo) 상 건삭 파열의 전형적인 징후는 판막첨판의 이완 및 탈출(flail leaflet)입니다.
이는 승모판 첨단부가 수축기에 좌심방 쪽으로 젖혀지는 모습으로 확인되며, 건삭 파열의 확진 소견으로 간주됩니다.
이러한 flail leaflet 자체는 급성/만성 여부와 무관하게 건삭이 완전히 파열되면 나타나는 공통 소견입니다.
다만 급성 파열의 경우에는 새롭게 발생한 flail leaflet과 함께 즉각적인 중증 역류 제트가 보이고 좌심방 내 심한 난류가 관찰되며, 좌심방 크기에 비해 역류 정도가 과도한 모습을 보입니다.
반면 만성적 파열의 경우 이미 과거에 파열된 첨판의 flail이 관찰되더라도, 환자는 그동안 좌심방과 좌심실의 리모델링이 진행되어 심장이 크게 확장된 상태인 경우가 많습니다.
흉부 방사선(X-ray) 소견에서도 이러한 차이가 나타납니다.
급성 건삭 파열로 인한 급성 좌심부전에서는 폐수종이 갑자기 발생하지만 심장 크기는 평소보다 크게 증가하지 않을 수 있습니다. (그림 4)
.png)
급성의 이첨판 역류 발생으로 좌심방이 확대될 시간을 갖지 못했기 때문입니다.
실제로 “급성 건삭 파열에 의한 급성 심부전에서는 좌심방이 크게 확장되어 있지 않을 수 있다”는 보고도 있으며, 사람과 개 모두에서 이러한 현상이 기술됩니다.
만성 MMVD로 인한 만성 심부전에서는 좌심방/좌심실이 오래 걸쳐 확장되기 때문에 흉부방사선에서 심장음영의 현저한 확대와 폐정맥 울혈이 먼저 관찰되고, 폐수종도 서서히 진행하거나 심부전 말기에야 나타나는 경향이 있습니다.
급성 파열 : 심장 크기가 비교적 정상이나 폐에 갑작스런 변화 (Alveolar pattern)
만성 파열 : 심장은 매우 커져 있으나 폐수종은 상대적으로 만성 변화(Interstitial pattern)로 나타날 수 있습니다.
예후 및 생존율: 급성 건삭 파열은 즉각적인 생명 위협을 초래하여 단기 예후가 매우 나쁜 경우가 많습니다. 적절히 응급치료를 받지 못하면 수 시간~수일 내 사망할 수 있으며, 치료를 받더라도 초기 입원 중 사망률이 높습니다.
만약 초기 위기를 넘겨 안정화된다면, 중기 예후는 생각보다 나을 수 있습니다.
과거 임상경험상에는 건삭 파열 환자의 대다수가 6개월 이내에 사망한다고 알려져 있었지만, 최근 연구들은 적절한 치료를 받은 건삭 파열 환자 중 절반 이상이 1년 이상 생존함을 보고하고 있습니다.
François Serres 등(2007)의 연구에서는 치료를 받은 건삭 파열 환자의 58%가 1년 이상 생존했고, 중앙 생존기간은 약 425일(약 14개월)로 나타났습니다.
이는 건삭 파열 자체가 즉각적 위기는 높아도, 안정화 후에는 일반적인 CHF 환자와 비슷하거나 그 이상의 생존기간을 기대해볼 수 있음을 시사합니다.
다만 예후를 결정하는 핵심 인자는 환자의 초기 상태의 중증도입니다.
해당 연구에서 예후 불량 인자로 밝혀진 것은 건삭 파열 진단 시의 급성 호흡곤란 여부, 복수(우심부전) 동반 여부, 높은 심박수, 혈중 요소질소(BUN) 상승, 확대된 좌심방 크기 등 이었습니다.
특히 발견 당시 급성 폐수종으로 중증 호흡곤란이 있었던 경우나 심장병 말기로 복수가 찬 경우는 다른 조건의 환자들보다 생존 기간이 유의하게 짧았으며, 안정적인 만성 관리 중에 우연히 건삭 파열이 확인된 경우나 증상이 경미한 경우는 상대적으로 예후가 양호했습니다.
또한 건삭 파열로 인한 중증 MR 환자들 대부분이 Stage C에 해당하므로, 이러한 환자들은 강화된 내과치료에도 불구하고 결국 심부전 진행으로 평균 1~2년 내 사망하는 경향이 있습니다.
요약하면, 급성 파열 환자는 초기에 위험성이 높아 단기 예후가 나쁘지만, 초기 치료를 견뎌낸 경우 중기 생존율은 기존 생각보다 높을 수 있다는 점이 최근 문헌의 요지입니다.
치료 반응 및 재발률 등 임상 관리상의 차이: 급성 건삭 파열은 응급 치료가 최우선입니다.
환자는 즉각적인 산소 공급, 강력한 이뇨제 투여(Furosemide 고용량 정주 등), 강심제 및 혈관확장제 투여 등을 통해 응급으로 폐수종을 완화시켜야 하며, 필요하다면 진정제 사용이나 기계 환기까지 고려될 수 있습니다.
급성기 치료에 반응하여 안정화되면, 이후에는 만성 MMVD/CHF 환자와 동일한 약물 요법으로 관리합니다.
구체적으로 경구 이뇨제, ACEi, pimobendan 등의 표준 심부전 치료를 장기적으로 적용하며, 저염식과 운동 제한 등의 관리도 동일합니다.
반면 만성적인 건삭 파열 환자는 처음부터 급성 위기가 없었기 때문에 대개 외래에서 경구 약물 치료로 관리가 가능하며, 증상 조절에 대한 약물 반응성도 일반적인 MMVD 심부전 환자와 유사합니다.
다만 건삭 파열이 있었다는 것은 이미 승모판 기능부전이 상당히 진행되었음을 의미하므로, 일반 B2단계 환자보다 약물 요구량이 많고 재발성 폐수종의 위험이 높을 수 있습니다.
재발률 측면에서는, 일단 한 가닥의 건삭이 끊어졌다면 추가적인 건삭들도 이어서 파열될 가능성이 있습니다.
실제 부검 사례에서 여러 가닥의 건삭이 동시 또는 시간차를 두고 파열된 흔적이 발견된 바 있으며, 임상적으로도 한 번 급성 폐수종을 극복한 후 몇 달 또는 몇 년 후에 다른 건삭이 파열되어 다시 급성 악화가 나타나는 경우가 보고됩니다.
그러므로 건삭 파열 병력이 있는 환자는 이후에도 갑작스런 호흡곤란 재발 등에 대해 주의가 필요합니다.
내과적 관리로 반복적인 급성 악화를 조절하기 어려운 경우나, 젊고 건강한 환자의 급성 건삭 파열이라면 전문센터에서 인공판막 치환 등의 외과적 수술을 통한 교정도 고려될 수 있습니다.
주요 연구 결과 요약 (2015년 이후)
아래 표에는 2015년 이후 발표된 문헌에서 보고된 MMVD 환자의 건삭 파열 관련 주요 지표를 정리하였습니다:
| 항목 | 연구 결과 (인용) |
| MMVD에서 CTR 유병률 |
전체 MMVD 환자의 약 16%에서 CTR 발생 (706례 중 114례) |
| 품종/체격 분포 | CTR 환견의 ~89%가 10kg 미만 소형견; 대형견에서는 드물지만 발생 가능 |
| 평균 연령 | CTR 발생 환자의 평균 ~12세(범위 6–17세) |
| 성별 분포 | CTR 환자의 약 64% 수컷(남♀:여♂ = 1.8:1 비율) |
| MMVD 단계별 CTR 빈도 |
Stage B1: ~1–2% Stage B2: ~20% Stage C (CHF 경증): ~35% Stage D (CHF 중증): ~70% |
| 급성 vs 만성 증상 | 급성 : 돌연 호흡곤란, 폐부종, 급사 위험 만성 : 서서한 운동불내성, 만성 기침 등 진행 |
| 영상 소견 | 급성 : flail leaflet (판첨 탈출) 뚜렷, LA/LV 크기 정상~경도, 심한 폐부종 만성 : flail 있을 수 있음, LA/LV 중증 확대, 만성 폐울혈 양상 |
| 예후 (생존기간) | 초기 안정화 성공 시 : 중앙 생존기간 ~14개월(58%는 1년 이상 생존) 급성 악화 동반 시 : 단기 사망률 증가, 예후 불량 |
| 예후 인자 | 나쁜 인자 : 급성 폐부종, 복수 동반, 큰 LA 크기, 빈맥, 고BUN 등 양호 인자 : 무증상 파열, 경미한 역류 (예후 비교적 좋음) |
| 치료 및 재발 관리 | 급성 : 응급치료 후 안정화, 이후 표준 CHF 치료 재발 : 추가 건삭 파열 가능성 존재 – 장기 모니터링 필요 |
Re:born ANIMAL MEDICAL CENTER