강아지 디스크 수술, 최소침습 척추내시경
- 관리자
- 작성일2026.02.24
- 조회수257
최소침습 척추내시경으로 치료한 강아지 디스크(IVDD)증례
김현호 외과대표원장
[본문 한 눈에 보기]
✅ 갑작스러운 후지마비로 내원한 IVDD 환자에서 MRI로 디스크 탈출을 확인하였습니다.
✅ 양방향 척추내시경을 이용한 Hemilaminectomy 감압수술을 시행하였습니다.
✅ 리본동물의료센터는 척추내시경 경험을 기반으로 정확한 감압수술을 시행하며 환자는 1개월 후 자력보행이 가능해졌습니다.
IVDD(Intervertebral Disc Disease)는 개에서 신경학적 이상을 초래하는 가장 흔한 원인 중 하나입니다.(그림1)
.png)
그림1. 탈출된 디스크
형태에 따라 다르지만 대부분의 치료는 수술을 통한 감압이 지시됩니다.
감압을 해주는 기법들은 문헌에 따라 조금 다르게 표현되기도 하지만 대표적으로 Hemilaminectomy, Mini-Hemilaminectomy, Pediculectomy 등이 있습니다. (그림2)
.png)
그림2. 척추 감압술의 종류
감압술은 일반적으로 피부와 근막을 길게 절개를 하고 spine 주변 muscle을 분리한 뒤 측면을 노출하고 수술이 진행되게 됩니다.
따라서 주변 근육 및 구조물을 필연적으로 손상시키게 되고 이는 술 후 통증과 근 위축 등으로 이어지게 됩니다. (사진1)
.png)
사진1. 감압술을 시행하기 위한 절개창
이러한 개방 수술의 단점을 극복하기 위해 수의학에서도 최소 침습 척추수술들이 연구되고 시행이 되어 오고있습니다.
카메라나 현미경을 사용한 최소침습 기법은 적은 조직손상과 확대를 통한 가시화의 장점이 있습니다.
많은 종류의 최소침습 기법이 소개되어져 왔으며, 접근법의 종류에 따라 크게 두가지 형태로 구분됩니다.
첫번째는 tubular retractor를 쓰는 방식이고 두번째는 아에 피부를 관통하여 접근하는 방식입니다.
이러한 큰 틀에서 응용된 다양한 기법들이 있으며, 대표적으로 MED (Micro-endoscopic discectomy)와 PED (Percutaneous endoscopic discectomy)기법이 보고되어 있습니다. (그림3)
.png)
그림3. A : MED (Micro-endoscopic discectomy), B : PED (Percutaneous endoscopic discectomy)
하지만 이런 수술은 이 수술법을 위해 고안된 특수한 장비를 사용해야하고 조작의 힘듦으로 인해 수의에서 널리 보급되어 있지는 않은 상황입니다.
아직 수의쪽에서는 적용사례가 거의 없지만 인의쪽에서는 이런 단점들을 극복하여 기존 관절경 장비들을 이용할 수 있고, 두개의 portal을 이용하여 조작이 더 편한 Unilateral biportal endoscopic spine surgery, Biportal Endoscopic spine surgery 이하 (BESS, UBE) 라는 방식도 많이 사용되고 있습니다(그림4).
.png)
그림4. Unilateral biportal endoscopic spine surgery, Biportal Endoscopic spine surgery (BESS, UBE).
이런 수술 기법은 1996년 사람의사인 antoni가 고안해내었으며,
2013년 soliman이라는 사람의사가 현재와 유사한 개념의 수술법으로 발전시켰습니다.
2016년부터 한국에서 여러 논문들이 나오며 Biportal라는 용어가 쓰이기 시작했으며 UBE라는 용어가 쓰이기 시작하였습니다.
수의 쪽에서는 유사한 개념의 보고가 2025년에 중국에서 보고된 바 있지만, Full endoscopic surgery보단 assist 개념으로 소개되어 있고, Full endoscopic surgery에 관한 두편의 논문이 한국에서 보고되었습니다.
이번엔 수의학에서 아직 보급되지 않은 UBE 기법을 이용하여 IVDD에서 Hemilaminectomy와 Mini-Hemilaminectomy를 성공적으로 실시한 증례들을 소개하고자 합니다.
첫번째 환자는 9살령 중성화 수컷이었고, 5.5kg으로 비교적 작은 체형의 개였습니다. 증상은 전날 갑작스러운 후지마비 증상을 보여 내원하였고, 내원시에 Grade 5로 deep pain도 소실된 상태였습니다.
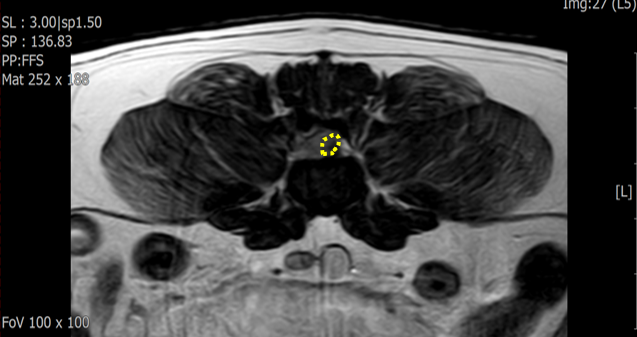
Mri 검사상 요추 4/5번 좌측으로 디스크 탈출이 확인되었습니다.(사진2)
.png)
증상의 정도가 심하여 충분한 감압을 위해 수술은 Hemilaminectomy 를 계획하여 실시하였습니다.(사진3,4)
포트가 장착된 부분에 국소마취 진통제 처치 후 입원 및 수액 처치를 진행하였습니다.
술 중 합병증은 관찰되지 않았으며, 수술 후 신경학적 개선이 관찰되었습니다.
2일차 심부통증이 확인되고, 2주차에 보조하에 보행이 가능해졌으며 한달 뒤 스스로 보행이 가능해졌습니다.
.png)
사진3. 척수 아래 디스크를 확인하고 제거
.png)
사진4. 디스크 물질들을 모두 제거 후 척수의 주행
.png)
사진5. 술부 사진
인의에서 Biportal 기법 또한 다음과 같이 son’s space라고도 하는데, multifidus 머슬의 결사이 틈의 공간(그림5)을 이용하여 진행하게 되는데 이로 인해 근육의 손상을 최소화하게되어 빠른 회복과 기능적인 이점이 대표적인 알려져있습니다.
.png)
한 연구에서는 개발수술의 경우 7%의 근육감소를 보이는 반면, 최소침습기법을 이용하면 10%의 근육량 상승을 보여, 결과적으로 17퍼센트의 차이가 발생한다고 해석하기도 합니다.
또 여러 예후 관련 논문들을 meta 분석한 한 연구에서는 UBE와 PED, MED를 비교하였는데,(표1) 결과적으로 최소 침습 기법들끼리 장기적 예후에서 차이는 보이지 않았지만, 초반의 통증 및 기능회복에서 UBE와 PED가 유리함을 시사하였습니다.
PED와 UBE에서의 유의미한 차이는 없었습니다.
또한 기존 최소 침습 수술에 비해 양방향 척추 내시경의 장점은 조작의 편의성입니다. 이는 다음과 같이 triangulation 을 형성함에 따라 나오게 됩니다.
다음의 모식도를 보시면 피부에서 이런 Portal 이 들어가며 pivot point 를 형성합니다. 이 지점을 축으로
.png)
표1. UBE와 PED, MED 비교
이런 결과와 연구들을 토대로 아직 수의 관련 많은 연구가 필요하지만, 기술적으로 Hemi laminectomy와 Mini-hemilaminectomy가 가능한 점에서 수의 환자에서 척추 감압을 위한 실용적이고 효과적인 최소 침습적 대안이 될 수 있음을 시사합니다. 더 나아가 인의에서와 같이 척추의 안정화나 종양 제거 등도 충분히 가능할 것이라 생각합니다.
저희 리본동물의료센터는 새로운 기술을 그저 빠르게 도입하는 것이 목표가 아닙니다.
철저한 준비와 충분한 검증을 바탕으로 반려동물에게 가장 안전하고 확실한 치료를 제공하는 것이 목표입니다.
그 결과, 영남권 최초로 척추내시경을 도입하여 현재까지도 꾸준히 다양한 케이스를 성공적으로 축적해 오고 있습니다.
철저한 준비아래 쌓은 경험이 실력으로 이어지고, 실력이 곧 반려동물의 회복으로 이어진다는 믿음 아래 항상 한 발 앞서 정확한 치료를 선도하고 있습니다.
저희 리본동물의료센터는 끝까지 책임지는 치료, 그리고 반려동물에게 더 나은 내일을 약속드립니다.
Re:born ANIMAL MEDICAL CENTER