강아지 요실금 - 방광결석 및 요도결석
- 관리자
- 작성일2026.02.05
- 조회수119
[본문 한 눈에 보기]
✅ 나이가 많은 강아지가 소변이 계속 새는 요실금 증상으로 내원했으며 영상검사에서 방광과 요도에 다수의 결석이 확인되었습니다.
✅ X-ray와 초음파 검사 후 방광절개술과 요도 플러싱을 통해 결석을 제거하고 방광 내부를 방광경으로 확인했습니다.
✅ 결석은 재발 위험이 높은 질환으로 수술 후에도 정기적인 영상검사와 수분 섭취·식이 관리가 중요합니다.
이 아이는 원래 실외 배변만 하던 아이였는데 약 6개월 전부터 집 안에서 소변을 흘리기 시작해 병원에 내원했습니다.
누워 있는 상태에서도 소변이 새어 나오는 양상
집 안 여기저기에 소변이 계속 떨어져 있는 요실금(incontinence)
산책을 나가면 소변 양은 오히려 많고 집에서는 조금씩 계속 새는 형태
처음에는 혈뇨는 없었고 최근에는 기저귀에 아주 소량의 피가 묻어 나오는 정도
16살의 노령견이고, “소변을 참지 못하고 계속 새는 증상” 때문에 처음 내원하셨다가 이번에 증상이 지속·악화되어 다시 평가를 진행하게 된 케이스입니다.
이번 내원에서 진행한 주요 검사들은 다음과 같습니다.
1.영상 검사
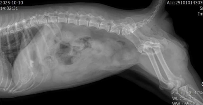
X-ray
방광(bladder) 부위에 다수의 방광결석(cystolith)이 의심되는 음영이 확인되었습니다.
.png)
Abdominal ultrasound(복부 초음파)
bladder wall(방광벽)이 두꺼워져 있어 chronic cystitis(만성 방광염)을 의심할 수 있는 소견
bladder 안에 다수의 결석(cystolith)이 확인되었고, urethra(요도) 방향으로도 여러 개의 결석이 내려가 있는 상태가 확인되었습니다.
2.혈액 검사
CREA, PHOS 상승은 현재 뚜렷하게 관찰되지 않아, 당장은 심한 postrenal azotemia 상태는 아니나,urethra가 결석으로 막히는 급성 폐색이 발생하면 postrenal azotemia로 빠르게 진행할 수 있어 주의가 필요한 상황입니다.
3. 감별 진단
현재 영상·혈액 소견을 종합했을 때 Urinary cystitis + bladder/urethral urolithiasis(방광염 + 방광/요도결석)에 의한 요실금, stranguria(배뇨곤란) 가능성이 가장 크게 확인되었습니다.수술적 교정
초음파에서 bladder 내 다수의 방광결석,urethra 쪽으로 내려간 결석들,bladder wall 비후(방광염 소견)가 동시에 확인되었습니다.
이로 인해 요실금(incontinence)Stranguria, 반복적인 요로감염 위험이 높은 상태로 판단되어
→ bladder 및 urethra 결석 제거를 위한 수술(cystotomy + urethral flushing)을 시핼하였습니다.
.png)
먼저 배 중앙선으로 작은 절개(midian laparotomy)를 내고 복강에 들어가 bladder(방광)를 조심스럽게 꺼낸 뒤 젖은 거즈로 주변 장기들과 부드럽게 분리해 주었습니다.
그런 다음 bladder apex(방광 끝부분)에 실을 걸어 위로 들어 올려 결석 제거와 봉합이 잘 보이도록 수술 시야를 확보했습니다.
Bladder의 아랫부분(ventral surface)에 세로 방향으로 작은 절개를 내는 ventral cystotomy를 시행했습니다.
절개 양쪽에 실을 걸어 입구를 살짝 벌려 준 뒤 bladder 안쪽으로 들어가 다수의 cystic calculi(방광 결석)가 들어 있는 것을 직접 확인했습니다.
.png)
Bladder 안과 trigone(방광 삼각부), ureter가 열리는 부위까지 잘 보이도록 한 상태에서, 작은 카메라인 cystoscope(방광경)을 절개창을 통해 넣어 bladder 안쪽 점막과 proximal urethra(방광 쪽 요도)를 자세히 관찰했습니다.
이 과정에서 눈에 잘 안 띄는 작은 결석과 동반된 염증·폴립 같은 병변이 있는지도 함께 확인했습니다.
또한 결석이 urethra 쪽으로 떨어졌을 가능성에 대비해, urethral catheter를 넣고 방광 쪽으로 물을 흘려 보내는 flushing을 여러 번 시행하여, urethra 안에 남아 있을 수 있는 결석까지 최대한 씻어 내도록 했습니다.
결석 제거가 끝난 뒤에는 방광경으로 다시 한 번 bladder 안 전체를 확인해 남아 있는 결석이 없는지 꼼꼼히 검사했습니다.
그 다음 bladder wall의 튼튼한 층(submucosa)을 잘 포함하도록 봉합사로 촘촘히 맞대어 봉합한 후, 최종적으로 방광 벽을 통해 주사기로 멸균 생리식염수를 주입하여 방광 내 압력을 올린 뒤, 절개선과 봉합 부위에서 누출이 없는지 확인하는 leakage test를 시행했습니다.
.png)
1. 수술을 진행하는 경우
bladder는 치유가 매우 빠른 장기라 mucosa 손상은 약 5일,full-thickness 손상은 14–21일 사이에 정상 강도에 가까운 회복이 가능합니다.
수술후 uroabdomen(복강 내 소변 누출) 같은 심각한 합병증은 낮은것으로 보고됩니다.
수술 후 hematuria, dysuria는 약 절반에서 나타날 수 있지만 대부분 수일 내에 자연 호전되는 경향이 있습니다.
2. 수술을 미루거나 하지 않는 경우
현재처럼 bladder와 urethra 내에 결석이 다수 존재하면, 어느 시점에 urethral obstruction(요도 폐색)이 갑자기 발생할 수 있습니다.
요도 폐색이 생기면 bladder가 급격히 팽창하고, postrenal azotemia, hyperkalemia가 생기면서 구토, 무기력, 식욕부진, 심한 경우 생명을 위협하는 상황까지 진행할 수 있습니다.
3. 재발에 대한 예후
bladder urolithiasis는 특히 개에서 “재발률이 높은 질환”입니다.
한 번 방광결석이 있었던 아이들은 최소 3–6개월 간격으로 X-ray·초음파를 통해 재발 여부를 체크하고, 물 섭취량 관리, 체중 관리, 적절한 처방식 유지가 중요합니다.
질병소개 – 방광결석(bladder urolithiasis)이란?
1.방광결석이란 무엇인가요?
urolithiasis는 urinary tract(신장, 요관, 방광, 요도) 안에 돌(결석)이 생기는 질환이고,그 중 bladder는 가장 흔하게 결석이 생기는 위치입니다.
결석은 하나의 mineral로만 이루어지기도 하고,층을 이루거나 혼합 구조를 가지는 경우도 있습니다.
2. 어떤 종류의 결석이 있나요?
개와 고양이에서 가장 흔한 두 가지는 Struvite, calcium oxalate 입니다.
그 밖에 urate, calcium phosphate, silica, xanthine, cystine, mixed urolith 등이 드물게 보고됩니다.
3. 어떤 증상이 나타나나요?
hematuria(혈뇨)pollakiuria(자주 소변 봄),stranguria/dysuria(배뇨 시 힘주기, 아파함),소변을 참지 못하고 조금씩 새는 요실금(incontinence), urethral obstruction이 있으면 무기력, 식욕부진, 심한 경우 쇼크까지 진행합니다.
4. 어떻게 진단하나요?
Urinalysis, urine culture , pH, crystal 형태, 세균 유무를 보고 결석 종류를 예측하고,동반된 urinary tract infection을 확인합니다.
방사선 검사를 통하면 대부분의 struvite, calcium oxalate는 X-ray에서 잘 보일수있으나 urate, cystine 등 일부 결석은 X-ray에 잘 안 보일 수 있습니다. 즉, 잘보이지 않는 결석까지 제거해주는 것이 중요합니다.
5. 치료 방법
결석의 크기, 개수, 위치, stone type, 아이의 전신 상태에 따라 선택합니다.
struvite, urate, cystine 일부는 특수 식이와 약물로 녹이는 것이 가능하나 Surgical cystotomy는 가장 전통적이고 많이 시행되는 방법으로 bladder를 여는 수술을 통해 결석을 모두 꺼내고 수술 중에는 cystoscope(방광경)을 이용해 bladder 안쪽 점막과 urethra 입구 근처까지 직접 보면서, 눈에 잘 보이지 않는 작은 결석이나 염증, 종괴가 남아 있지 않은지 확인하는 과정이 매우 중요합니다.
또한 urethral flushing(요도 플러싱)을 반복해서 시행해 urethra 안에 숨은 작은 결석까지 최대한 씻어 내야, 수술 후 요도 폐색이나 결석 재발 위험을 줄일 수 있습니다.
6. 재발 예방
urolithiasis는 재발률이 높기 때문에, 결석을 제거한 뒤가 더 중요합니다.
stone type에 따라 다르지만, 공통적으로 물 섭취량을 늘려 urine을 묽게 유지하고,체중·비만을 관리하며,적절한 처방식을 꾸준히 급여하는 것이 필요합니다.
Re:born ANIMAL MEDICAL CENTER