강아지 설사 기력저하 식욕 저하 - 다발성 림프종
- 관리자
- 작성일2026.02.03
- 조회수216
.png)
✅ 본문 한 눈에 보기
✅ 설사와 기력 저하로 내원하여 초음파와 세포 검사(FNA)를 진행한 결과, 비장과 림프절 전반에 퍼진 다발성 림프종으로 확진되었습니다.
✅ 수술이 어려운 전신 종양 특성상 CHOP 항암 프로토콜(다약제 병용 요법)을 통해 종양 크기를 줄이고 삶의 질을 높이는 치료를 시작했습니다.
✅ 항암 시 약 1년 정도의 생존 기간을 기대할 수 있으며 치료 중 발생할 수 있는 백혈구 감소나 부작용 모니터링을 위한 정기적인 혈액 검사가 필수적입니다.
11살 중성화 수컷 개 환자가 설사, 기력저하, 식욕저하 증상을 보여 내원했습니다.
보호자님께서는 최근 들어 환자가 평소보다 많이 처져 있고, 밥을 잘 먹지 않으며 설사가 지속되어 걱정하셨습니다.
환자의 전신 상태 이상 원인을 확인하기 위해 복부 초음파 검사 및 세포 검사를 진행했습니다.
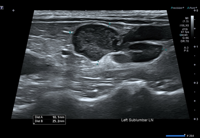
복부 초음파 검사
체표 및 복강 내 다발성 림프절 비대 확인
비장에서 벌집 징후(honeycomb sign) 관찰
→ 종양에서 특징적으로 보일 수 있는 소견
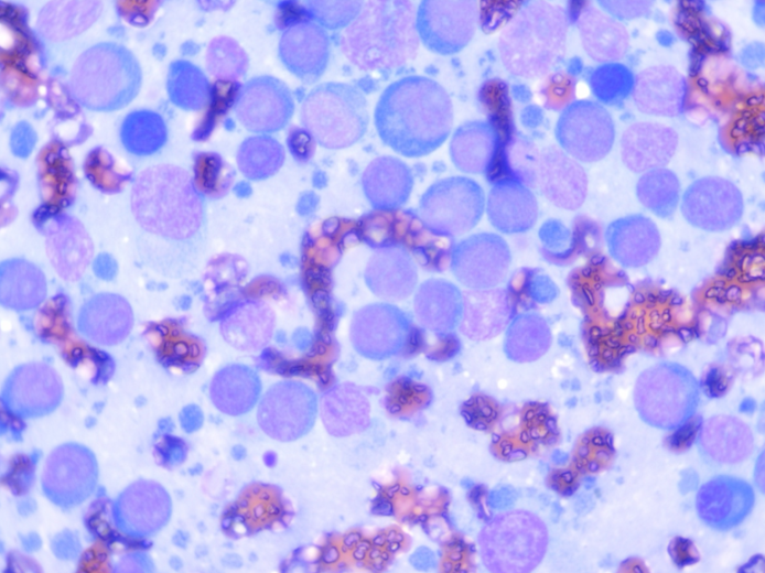
세침 흡인 검사(FNA)
비대된 림프절에서 채취한 세포 검사에서 림프종(lymphoma) 소견 확인
위 검사 결과를 종합했을 때, 환자는 개의 다발성 림프종으로 진단되었습니다.
.png)
그림 1. 복부 초음파에서 확인된 요추하 림프절 비대
.png)
그림 2. 비장의 벌집 징후(honeycomb sign)
.png)
그림 3. 림프절의 FNA 세포검사 소견으로 림프종 진단
개의 다발성 림프종이란?
림프종은 림프구에서 발생하는 종양으로, 개에서 비교적 흔하게 발생하는 혈액·림프계 종양입니다.
다발성 림프종의 경우 림프절뿐만 아니라 비장, 간, 골수, 위장관 등 여러 장기를 동시에 침범할 수 있어 전신 증상(무기력, 식욕저하, 설사 등)이 나타날 수 있습니다.
림프종은 수술만으로 완치를 기대하기 어렵기 때문에, 항암치료가 표준 치료법입니다.
증상이 있는 림프종의 환자에서 항암치료를 진행하지 않을 경우 1개월, 스테로이드 단독으로 적용할 경우 1~3개월, 다약제성 항암치료를 적용할 경우 약 1년 정도의 예후 기간을 예상할 수 있습니다.
환자 또한 다약제성 항암치료(CHOP protocol)를 적용하여 치료를 시작하기로 하였습니다.
▷ CHOP protocol 구성: Cyclophosphamide, Doxorubicin, Vincristine, Prednisolone
이 치료는 서로 다른 기전을 가진 항암제를 순차적으로 사용하여 종양 반응률을 높이고 약물 내성을 줄이는 것을 목표로 합니다.
림프종은 항암치료에 비교적 반응이 좋은 종양으로, 적절한 치료 시 임상 증상 개선과 삶의 질 향상을 기대할 수 있습니다.
다만 개체별 반응 차이가 있으며, 완치보다는 관해(remission) 유지를 목표로 치료를 진행하게 됩니다.
[항암치료 중 모니터링 및 주의사항]
항암치료 중에는 호중구감소증이 나타날 수 있으므로, 정기적인 혈액검사(CBC)가 필요합니다.
일시적으로 식욕저하, 구토, 설사, 백혈구 감소 등이 발생할 수 있습니다.
그러나 무기력, 발열, 심한 식욕부진, 지속적인 설사 또는 구토가 나타날 경우 즉시 내원이 필요합니다.
[가정 관리 및 보호자 안내]
치료 기간 동안 아이의 식욕, 활력, 배변 상태를 면밀히 관찰해 주세요.
항암제 투여 일정은 치료 효과에 매우 중요하므로 예약 날짜를 꼭 지켜주세요.
항암치료의 목적은 환자가 가능한 한 편안하고 질 좋은 일상생활을 유지하도록 돕는 것입니다.
궁금한 점이나 걱정되는 변화가 있을 경우 언제든 병원으로 문의해 주세요.
Re:born ANIMAL MEDICAL CENTER