강아지 다리 혹 (연부조직육종 STS), 다리 종양 제거 수술 + 피부 재건 수술+ 림프절 제거
- 관리자
- 작성일2026.01.07
- 조회수189
강아지를 쓰다듬다 뒷다리에서 혹이나 멍울이 만져져 걱정되신 적 있으신가요?
강아지 혹은 단순한 지방종부터 종양이나 암으로 진행되는 경우까지 원인이 다양해 크기가 커지거나 단단하게 느껴진다면 정확한 검사가 필요합니다.
이번 글에서는 강아지 뒷다리 혹으로 내원한 웰시코기 사례를 통해 종양의 진단 과정과 치료 과정을 자세히 소개드립니다.
[본문 한 눈에 보기]
✅ 산책 중 웰시코기 환자는 오른쪽 뒷다리에서 점점 커지는 혹이 만져져 병원에 내원했고 검사 결과 근육이나 지방에서 자라는 종양이 확인되었습니다.
✅ CT 검사와 세포 검사로 악성 종양 가능성이 높다고 판단되었지만 종양 위치가 발에 가까워 다리를 절단하지 않고 종양만 제거하는 수술과 피부를 이어주는 수술을 진행했습니다.
✅ 수술 후 조직검사 결과에서는 비교적 초기 단계의 악성 종양으로 확인되었고 현재는 회복 중이며 재발 여부를 계속 관찰하고 있습니다.
보호자님과 환자가 산책 중 뒷다리에 혹 같은 덩어리를 발견하셔서 병원에 내원하셨습니다.
내원 당시 몇 달 전 처음 발견했을 때보다 많이 커진 것 같다고 하셨습니다.
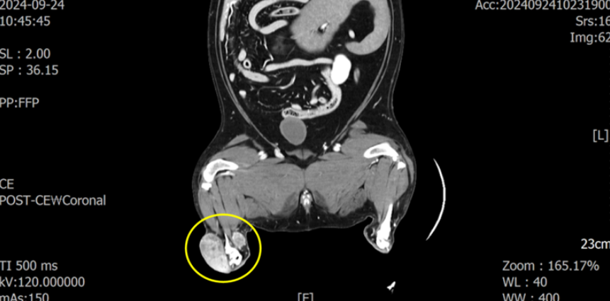
신체검사에서 보행에 불편함은 없었으나 우측 뒷다리에 5cm*6cm 정도의 큰 종괴를 확인하였습니다.
CT 촬영을 통해 해당 종양이 아킬레스건 주변을 둘러싸고 근육 침습도 일으키고 있는 양상을 확인하였습니다.
.png)
원격 전이를 의심할 만한 소견은 없었지만 인접한 림프절 중 하나인 sublumbar LN(요추하 림프절이 커져 있었습니다.
FNA(미세침흡인검사)는 농양 등 종양의 다른 원인을 배제하거나 종양의 종류를 유추하는 데 사용할 수 있습니다.
다만, 중간엽세포 유래 종양의 경우 세포가 잘 탈락하지 않아 진단률은 떨어지는 편입니다.
그럼에도 수술적 절제 전 종양의 특성을 대략적으로 확인하고 수술적 계획을 세우는 데 도움이 됩니다.
FNA 검사 결과 sarcoma계열 종양이 가장 강하게 의심되는 소견이 나왔습니다.
종양의 치료는 결국 수술적 절제인데 수술의 목표는 여러 가지로 나뉩니다.
완전 절제를 통한 치료 목적, 종양의 일부 절제를 통한 세포 수 감소 목적, 종양이 주변 장기 등을 눌러 임상 증상을 유발하는 경우 임상 증상 완화의 목적, 조직 검사를 위한 일부 조직 생검의 목적 등입니다.
FNA를 통해 의심되는 Sarcoma(육종)는 악성 종양이며 크기도 5cm 이상으로 매우 크고 주변 근육 침습도도 높아 완전 절제를 위해서는 종양 주변 3cm 이상의 넓은 margin(변연)을 두고 절제해야 완전 절제와 치료를 기대할 수 있습니다.
.png)
그러나 사지 말단에 위치하여 주변 조직과 피부가 부족하여 넓은 변연을 확보할 수 없습니다.
따라서 치료적 목적을 위해서는 amputation 즉 해당 병변이 위치한 다리 절단이 필요합니다.
사지 절단 후 연구에서 약 90%의 보호자들은 강아지들이 절단 전후 큰 변화 없이 잘 적응했다고 응답했습니다. (2015, Vanna)
그렇지만 보호자께서 이후 재발 가능성이 높더라도 종양의 marginal한 절제만 시행하기를 강하게 원하셨습니다.
해당 종양은 너무 커서 marginal하게 시행하더라도 봉합을 위한 피부 조직이 모자라 주변 피부를 끌어오는 axial pattern flap을 시행하기로 계획을 세웠습니다.
.png)
genicular axial pattern flap
수술: STS resection
Marginal resection이지만 주변 피부가 허락하는 한 넓은 면적을 절제하였습니다.
절제하면서 popliteal LN도 함께 절제했습니다.
.png)
종양을 제거하는 모습
.png)
절제한 종양
이후 genicular axial pattern flap을 통해 주변 피부를 가져와 봉합했으며 복강경을 통해 sublumbar LN을 제거하여 술후 통증과 합병증을 최소화하고자 했습니다.
.png)
Flap을 통해 피부 조직을 닫으려는 모습
입원 기간 동안 철저한 감염 관리와 통증 관리를 진행했습니다.
Flap을 통해 주변 조직을 이식한 것이기 때문에 일반적인 봉합보다 회복이 더디고 감염에 취약합니다.
주변 조직을 당겨오며 발생하는 장력 때문에 열개가 쉽게 생길 수 있어 매일 술부를 모니터링했습니다.
환자는 입원 기간 동안 큰 이상 없이 지내다가 퇴원했습니다.
퇴원 후에도 지속적인 재발 유무를 모니터링하기로 했습니다.
.png)
조직 검사 결과 grade I STS로 진단되었습니다.
사지 말단의 종양이라는 위치적 한계 때문에 절제 단면까지 종양이 있어 추가적인 재발 여부를 계속 모니터링해야 합니다.
그리고 만약 재발한다면 더욱 공격적인 양상을 띌 가능성이 높아 절단을 고려해야 합니다.
다행히도 커져 있던 림프절들에는 전이의 증거가 없었습니다.
질병 소개: STS (Soft tissue sarcoma)
Soft tissue sarcoma (STS), 연부조직육종은 개의 피부 종양에서 약 8-15%
고양이에서는 7-18%를 차지하는 악성 종양입니다.
다양한 중간엽 기원 세포에서 발생하지만 생물학적 행동의 유사성 때문에 하나의 그룹으로 분류합니다.
주변과 피막으로 잘 분리되어 보이지만 미세한 돌기 형태로 침윤하여 침습적인 성장 양상을 보이며 때문에 marginal 하게 절제한 경우 재발이 흔하게 발생합니다.
.png)
종양에서 중요한 분류로 Staging과 Grading이 있습니다.
Staging은 종양의 크기, 림프절 전이, 원격 전이 등 종양의 성장과 전파와 관련된 등급을 매긴 것으로, 평균 생존 기간 분류에 사용되는 경우가 많습니다.
Grading은 조직 검사를 통해 조직학적/세포학적으로 얼마나 비정상적인지 악성도가 높은지 등급을 매긴 것입니다.
둘 모두 예후와 관련이 깊은 지표입니다.
특히 grading은 원격 전이와 국소 재발을 모두 예측할 수 있기 때문에 치료 방향 설정과 모니터링을 위해 종양 절제 후 조직 검사는 필수적입니다.
STS의 전이률은 Grade에 따라 크게 달라집니다.
저등급 STS(grade I, II)에서는 13%이하로 보고되었고 고등급 STS(grade III)에서는 44%까지 보고되었습니다.
가장 흔한 전이 장기는 폐입니다.
이런 원격 전이는 예후에 큰 영향을 미치기 때문에 전이 평가를 위한 CT가 필요합니다.
유일한 치료 방법은 수술적 절제술입니다.
종괴로부터 3cm 이상, 하나 이상의 정상 근막을 포함하는 가급적 넓은 margin을 확보해야 하는데 몸통처럼 주변 조직이 많은 부위에선 가능할 수 있어도 사지 말단부에서는 거의 불가능하여 amputation이 추천됩니다.
완전 절제만 된다면 치료율은 매우 높아집니다.
그러나 변연이 좁거나 불완전한 경우 STS는 국소 재발률이 7-35%로 매우 높은 편입니다.
특히 grade에 따라 재발률이 크게 달라지는데 grade I에서는 7%, grade II에서는 35%, grade III에서는 75%까지 나타났습니다 (2009, Mcsporran).
재발한 STS는 더 공격적이고 예후가 나쁜 경향을 나타냅니다.
따라서 좁거나 불완전한 변연이 확인되었다면 scar revision을 통한 재수술 혹은 방사선 치료를 통해 재발을 줄이는 것이 추천됩니다.
특히 grade III STS의 경우 높은 전이도 때문에 수술 후 추가적인 방사선 치료 또는 항암 치료가 권장됩니다.
아이를 쓰다듬거나 만져 주실 때 이전에 없던 덩어리가 만져지는 경우 병원에 내원하여 검사를 받아 보시는 편이 좋습니다.
모든 STS가 그런 것은 아니지만 대부분의 경우 말랑말랑한 지방종보다는 딱딱한 느낌의 덩어리를 만질 수 있습니다.
주변 조직 침습도도 높고 빠르게 자라는 종양이기 때문에 확인된다면 바로 제거가 추천되며 가능한 넓게 절제해야 재발을 막을 수 있습니다.
추천되는 3cm 이상의 변연을 위해서 사지 말단에 위치한 경우 절단까지 고려해 주셔야 합니다.
STS의 특징 중 하나는 재발 시 더 공격적으로 변한다는 점입니다.
가급적 첫 수술에 넓고 완전한 절제를 하는 것이 가장 좋은 예후를 기대할 수 있습니다.
강아지 혹 특히 뒷다리나 사지에 생긴 종양은 위치와 크기에 따라 치료 방법과 예후가 크게 달라질 수 있습니다.
혹이 빠르게 커지거나 단단하게 만져진다면 단순한 문제로 넘기지 말고 CT 검사와 조직 검사를 통해 정확한 진단을 받는 것이 중요합니다.
리본동물의료센터는 강아지 종양에 대해 정확한 영상 검사와 수술적 치료, 수술 후 재발 관리까지 체계적으로 진행하고 있습니다.
아이의 혹이나 멍울로 고민 중이시라면 가까운 동물병원 또는 리본동물의료센터로 상담 (051-711-0006) 받아보시기 바랍니다.
감사합니다.
Re:born ANIMAL MEDICAL CENTER
.png)