강아지가 뒷다리를 절어요, 무릎 십자인대 파열일 수 있습니다 ( CCLR )
- 관리자
- 작성일2026.03.11
- 조회수313
[본문 한 눈에 보기]
✅ 수영과 달리기 이후 강아지가 뒷다리를 절기 시작했고 점차 증상이 심해져 한쪽 다리를 들고 다닐 정도가 되어 내원했습니다.
✅ 신체검사와 보행평가, drawer test, tibial compression test, X-ray를 통해 무릎 불안정성을 확인했고 TPLO 수술과 관절경 확인을 진행했습니다.
✅ 리본동물의료센터에서는 수술 전 계획부터 관절경 확인, TPLO 고정까지 체계적으로 진행했으며 수술 후 통증과 체중 부하가 회복되면서 보행도 뚜렷하게 좋아졌습니다.
1. 어떤 증상으로 내원했나요?
애견카페에서 수영 + 달리기를 한 뒤부터 뒷다리를 절기 시작했고 그 전부터도 최근 보행이 예전보다 다소 불안정해 보였고, 좌측 후지에 불편감이 지속적으로 있었던 것 같다고 했습니다.
이후 증상이 진행되어 다리를 완전히 들고 다니기 시작한 시점부터 약 7일 정도 지난 뒤 내원했습니다.
내원 전 경구 진통/소염제 처방을 받았고, 복용 후에는 통증과 보행이 다소 호전되어 다리에 체중을 일부 싣는 것은 가능한 상태였습니다.
2. 진단 과정
강아지의 후지 파행은 원인이 정말 다양해서 단순히 “다리를 절어요”만으로는 진단이 확정되지 않습니다.
같은 파행이라도 통증 위치, 신경학적 이상(보행 실조, knuckling, proprioception 저하), 파행 양상에 따라 감별 진단이 달라지기 때문에 다른 증상과 함께 종합적으로 감별하는 과정이 필요합니다.
그래서 진단시 파행 자체만 보는 게 아니라 신체검사 + 관절 촉진 + 보행 관찰 + 영상검사를 통해 “어느 부위에서 시작된 문제인지”를 먼저 좁혀가며 감별 진단을 진행합니다
이번 아이의 신체검사상 좌측 무릎 조작시 통증반응이 확인되었고 두가지 검사가 더 시행되었습니다
-
cranial drawer test: 양성
.png)
십자인대 손상이 의심될 때는 drawer test로 관절의 흔들림을 확인합니다. 검사할 때는 한 손으로 허벅지뼈 단단히 고정하고, 다른 손으로 정강이뼈(tibia)가 앞뒤로 미끄러지듯 움직이는지 확인합니다.
또한 무릎 불안정은 무릎을 완전히 폈을 때부터 굽혔을 때까지 각도를 바꿔가며 전체 범위에서 확인해야 합니다.
십자인대가 완전히 끊어진 것이 아니라 일부만 손상된 경우(partial tear)에는 특히 무릎을 굽혔을 때만 불안정이 느껴지거나, 검사에서 뚜렷하지 않게 나타나는 경우도 있기 때문입니다
-
tibial compression test: 양성
.png)
tibial compression test는 무릎에 체중이 실릴 때처럼 정강이뼈가 앞으로 밀리려는 힘을 일부러 만들어 보는 검사입니다.
정상이라면 cranial cruciate ligament가 이 움직임을 잡아줘서 정강이뼈가 거의 움직이지 않습니다.
하지만 십자인대가 파열/손상되어 있으면, 힘을 주는 순간 정강이뼈(tibia)가 앞쪽으로 이동하는 모습이 확인됩니다.
- 방사선 검사
.png)
X-ray는 십자인대 자체를 “직접” 보는 검사는 아니지만, 이미 진행된 osteoarthritis(관절염) 변화나 관절 주변 뼈 변화가 있는지 확인하고, 파행의 다른 원인이 될 수 있는 골절, 종양 같은 질환을 감별하는 데 도움이 됩니다.
또한 십자인대가 완전히 끊어진 것이 아니라 일부만 손상된 경우처럼 진단이 애매할 수 있는 상황에서는, X-ray에서 보이는 간접 소견들이 판단에 도움을 줄 수 있어 권장됩니다.
아이의 경우 좌측 stifle X-ray에서 관절염 변화와 함께 cranial cruciate ligament 파열에서 흔히 보이는 정강이뼈가 앞쪽으로 밀려난 소견이 보여 무릎의 불안정성이 의심되었습니다.”
3. 치료 과정 TPLO
1) 수술 전 계획(Preoperative planning)
옆에서 찍은 X-ray로 TPA(정강이뼈 경사)를 재고, 절골 위치/톱날 크기를 정한 뒤 얼마나 돌릴지(회전량) 계산해서 안전한 범위인지 확인합니다.
수술 후 TPA가 약 3~5°가 되도록 회전값을 정해 수술 때 그대로 적용합니다.
2) 관절경 확인
- 완전히 끊어진 게 아니라 일부만 찢어진 경우에는 drawer test나 tibial compression test가 각도에 따라 약하게 나오거나, 어떤 때는 명확하지 않을 수 있습니다
관절경은 관절 안을 직접 보니까, “진짜로 어느 부위가 얼마나 남아 있는지/어느 밴드가 손상인지”를 눈으로 확인할 수 있어 진단을 더 확실하게 만들어 줍니다.
- CCLD에서 meniscus가 같이 찢어지는 경우가 흔하고, 이게 있으면 통증·파행이 더 심해지거나, 수술 후에도 절뚝거림이 남는 원인이 될 수 있습니다.
특히 meniscus는 관절 밖에서 촉진이나 X-ray로는 “직접” 확인이 어렵고, 클릭 소리가 없거나 증상이 애매하면 놓치기 쉬운데, 관절경으로는 찢어진 부위/불안정한 조각을 직접 확인하고 필요한 처치를 같이 할 수 있습니다.
.png)
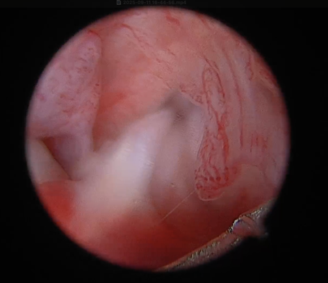
전방 십자인대 손상 확인 된 모습
.png)
후방 십자인대 부분 손상 및 염증성 변화 확인
.png)
손상되지 않은 반월판 확인 된 모습
3) 수술 과정
수술 부위를 절개한 뒤, 정강이뼈 위쪽을 안전하게 노출한뒤 TPLO 전용 톱을 이용해 정강이뼈 위쪽을 원형으로 절골합니다.
.png)
수술 전 계획에서 계산한 값대로, 절골된 뼈 조각을 필요한 만큼 회전시켜 관절면 경사를 조정합니다.
.png)
.png)
회전한 뼈가 움직이지 않도록 TPLO plate와 screws로 단단하게 고정해 뼈가 안정적으로 붙을 수 있게 합니다.
.png)
.png)
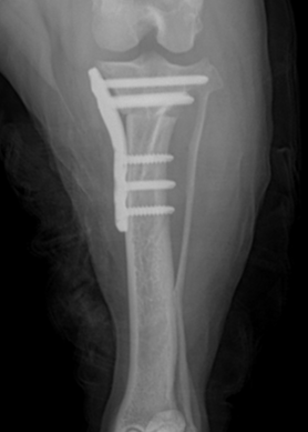
수술후 방사선 영상
4. 질병 소개
CCLD는 강아지 무릎안에 있는 전방 십자인대가 약해지거나 찢어지면서, 무릎이 헐거워지고 통증 때문에 뒷다리를 절게 되는 질환입니다.
사람처럼 “딱 한 번 크게 다쳐서” 생기는 경우도 있지만, 실제로는 관절이 조금씩 퇴행성 변화를 겪다가 인대가 약해져서 문제가 생기는 경우가 더 흔합니다
증상은 뒷다리를 절거나, 뛰고 난 뒤 더 심해지기도 하고 무릎을 굽히거나 펴는 동작에서 아파할 수 있고, 무릎을 쭉 펴는 자세에서 특히 불편해할수도있습니다.
시간이 지나면 아픈 다리를 잘 안 쓰게 되어 허벅지 근육이 빠지거나, 무릎 안쪽이 두꺼워지는 변화가 생기기도 합니다.
CCLD는 양쪽 무릎에 같이 생길 가능성이 꽤 높은 질환이기 때문에 한쪽 다리 파행으로 내원하더라도, 반대쪽 무릎 상태도 함께 확인해야합니다.
강아지 정강이뼈(tibia) 위쪽은 원래 살짝 경사가 있기 떄문에 걸을 때 체중이 실리면 정강이뼈가 앞으로 밀려 나가려는 힘이 생기는데, 정상이라면 십자인대가 그 힘을 잡아줘서 무릎이 안정적으로 움직입니다.
하지만 십자인대가 손상되면 그 힘을 못 잡아서 무릎이 흔들리고, 통증이 생기고 파행이 계속될 수 있습니다
TPLO는 이 “앞으로 밀리는 힘”이 생기지 않도록, 뼈의 경사(각도)를 수술로 바꿔서 무릎을 안정적으로 만들어 주는 수술입니다.
5.예후
수술 후 방사선 평가에서는 수술 전 TPA 30°였던 것이 수술 후 4.7°로 교정되어 목표 범위에 가깝고, tibia의 전반적인 정렬도 계획대로 양호하게 확인되었고 절골면이 서로 잘 맞닿아 있었고, 과도한 틈이나 어긋남 없이 양호한 접촉 상태였습니다.
십자인대가 끊어지는 문제는 많은 아이들은 관절이 조금씩 약해지고 닳아가는 퇴행성 변화와 함께 진행되는 경우가 있습니다
그래서 인대가 손상되면 무릎 안에서 염증이 생기고, 그로 인해 통증이 생기며, 시간이 지나면 관절염으로 이어질 수 있습니다.
TPLO 수술은 무릎의 흔들림(불안정성)을 줄여 통증과 보행을 크게 좋아지게 해주지만, 이미 시작된 관절염 변화가 “완전히 사라지는” 것은 아니기 때문에 수술 후에도 체중 관리, 무리한 운동 제한(점프·계단·미끄러운 바닥), 재활 운동(근육 회복)을 꾸준히 해주는 것이 장기 예후에 정말 중요합니다.
이번 아이의 경우 수술 후 통증이 줄고 체중 부하가 점차 회복되면서, 전반적인 보행 양상이 뚜렷하게 개선되었습니다.
Re:born ANIMAL MEDICAL CENTER